Туберкульоз - І.Т.П'ятночка 2005
Первинний туберкульоз
Інфільтративний туберкульоз легень
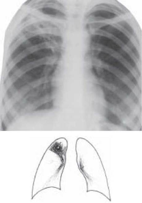
Інфільтративний Туберкульоз легень - специфічний ексудативно-пневмонічний процес, розміром понад 1 см, зі схильністю до швидкого прогресування і розпад (рис. 17). В теперішній час це найбільш розповсюджена форма легеневого туберкульозу і серед вперше діагностованих хворих становить 54,9 %.
Патогенез. Інфільтративний туберкульоз легень розвивається в результаті перифокального запалення навколо старих туберкульозних вогнищ, або в результаті прогресування м’яковогнищевого туберкульозу. Розвиток інфільтрату є наслідком гіперергічної реакції легеневої Тканини на велику кількість вірулентних МБТ, що швидко розмножуються. При ньому суттєве значення має масивність суперінфекції, наявність різних захворювань, психічні травми та інші чинники, які знижують резистентність організму.
Патоморфологія.
При інфільтративному туберкульозі легень можуть уражатися одна або декілька часточок, субсегмент, сегмент, частка.
Вогнище, навколо якого формується інфільтрат, являє собою ексудативне чи продуктивне запалення із схильністю до казеозного некрозу, який під впливом протеолітичних ферментів призводить до розрідження, прориву через ушкоджений дренуючий бронх і формування порожнини розпаду, появи свіжих вогнищ навколо інфільтрату. Надалі, під впливом Лікування, на місті інфільтрату формуються рубневі, вогнищеві зміни, вогнища Пуля (вогнище, в центрі якого є казеоз), туберкульома, індуративне поле і навіть обмежений цироз, значно рідше - повне розсмоктування. При неефективному лікуванні інфільтративний туберкульоз легень може переходити у Фіброзно-кавернозний туберкульоз легень.

Рис. 17. Інфільтративний туберкульоз верхньої частки правої Легені, фаза розпаду. Оглядова рентгенограма
Клініка. Розрізняють інфільтрат і казеозну пневмонію (остання виділена в окрему клінічну форму). Клініко-рентгенологічно розрізняють такі варіанти інфільтративного туберкульозу легень:
1. Хмароподібний інфільтрат характеризується наявністю ніжної, слабкої інтенсивності негомогенної тіні з нечіткими розмитими контурами і з схильністю до швидкого розпаду.
2. Округлий інфільтрат - майже гомогенна тінь середньої інтенсивності округлої форми з чіткими контурами (типу Ассмана).
3. Лобулярний інфільтрат має вигляд негомогенної тіні, що являє собою конгломерат вогнищ, які злилися між собою.
4. Лобарний інфільтрат (лобіт) - поширений інфільтративний процес, який охоплює цілу частку легені, часто негомогенного характеру і з наявністю поодиноких або кількох порожнин розпаду.
5. Перисцисуріт- інфільтрат, розміщений вздовж міжчасткової борозни, в результаті цей контур чіткий, а протилежний - розмитий.
Клінічний перебіг інфільтративного туберкульозу залежить від морфологічної структури, розмірів інфільтрату і казеозу. Частіше інфільтративний туберкульоз починається гостро або підгостро і за клінічним перебігом нагадує Грип, гостру респіраторну вірусну інфекцію чи пневмонію. Одним із симптомів інфільтративного туберкульозу може бути кровохаркання при загальному задовільному стані хворого. Іноді перебіг інфільтративного туберкульозу безсимптомний (інаперцептний), хоч і тут при детальному обстеженні можна виявити незначні ознаки інтоксикації. Фізикальні дані залежать від розмірів і фази процесу. Якщо інфільтрат перевищує 4 см в діаметрі, відмічається притуплення перкуторного звуку, Дихання шорстке, вологі хрипи при розпаді інфільтрату.
Рентгенологічно для інфільтративного туберкульозу характерним є: тінь понад 1 см в діаметрі, негомогенного характеру, середньої або слабкої інтенсивності, зв'язаної «доріжкою» з коренем, переважно локалізується в I, II або VI сегментах, в центрі інфільтрату порожнина розпаду, а навколо або в інших ділянках легень вогнища бронхогенної дисемінації.
Зі сторони гемограми, у переважної більшості хворих - лейкоцитоз, що не перевищує 15,0x109/л, зсув лейкоцитарної формули вліво, лімфопенія, прискорена ШОЕ. Реакція на пробу Манту з 2 ТО позитивна (нормергічна).
У 40-50 % випадків інфільтративний туберкульоз легень супроводиться бактеріовиділенням, а при розпаді інфільтрату - у 95 % хворих.
Диференціальну діагностику інфільтративного туберкульозу легень проводять передусім з неспецифічною пневмонією, еозинофільним інфільтратом, раком, інфарктом легень.
Лікування хворих зводиться до проведення безперервної антимікобактеріальної терапії протягом 6-8 місяців. Перші 2-3 місяці призначають в оптимальних дозах протитуберкульозні препарати (ізоніазид, рифампіцин, стрептоміцин, етамбутол або піразинамід) на тлі десенсибілізуючої, вітамінної та симптоматичної терапії. Часто на першому етапі лікування доцільним є курс глюкокортикоїдної терапії. Через 2 місяці відміняють стрептоміцин, лікування продовжують ще 4 місяці ізоніазидом, рифампіцином, етамбутолом (або піразинамідом) до закриття порожнин розпаду. У випадках неефективного лікування протягом 3-6 місяців, показано хірургічне втручання - часткова резекція легені.
Последнее обновление: 15/02/2024
Редакционная и учебная адаптация: Данный материал сведен на основе первоисточника/оригинального текста. Команда проекта осуществила редакционную обзорную обработку, исправление технических неточностей, структурирование разделов и адаптацию содержания к учебному формату.
Что было обработано:
- устранение форматных дефектов (OCR-ошибки, разрывы структуры, дефектные символы);
- редакционное упорядочивание содержания;
- унификация терминов в соответствии с академическими источниками;
- проверка соответствия фактических утверждений текста первоисточнику.
Все упоминания об авторе, годе издания и происхождении первичного текста сохранены в соответствии с источником.