Медична радіологія - Лазар А.П. 2008
Променеве дослідження органів травної системи
Променева діагностика захворювань стравоходу
Стравохід починається від глотки на рівні VI шийного хребця і продовжується до рівня XI грудного хребця, де він впадає у Шлунок. Розрізняють три відділи стравоходу: шийний - від глотки до верхньої грудної апертури, завдовжки 5-8 см; грудний - від верхньої грудної апертури до діафрагми, завдовжки 16-19 см; черевний - від діафрагми до шлунка, завдовжки 2-3 см.
Стравохід має три анатомічних звуження: глоткове - на межі глотки зі стравоходом, на рівні перснеподібного хряща; звуження грудної частини - на рівні біфуркації трахеї; діафрагмове - в місті проходження через стравохідний розтвір діафрагми. Два фізіологічних звуження знаходяться на рівні дуги аорти і в місці переходу в шлунок.
Рентгенологічне дослідження стравоходу починають з просвічування у вертикальному положенні хворого у прямій, бічній, першій і другій косих проекціях, тобто дотримуючись багатопроекційного принципу для вивчення стану всіх стінок органа. Спочатку обстежуваному дають ковтати рідку суспензію сульфату барію, або водорозчинні контрастні речовини, щоб уникнути затримки контрасту у звужених ділянках і виявити можливі дивертикули або нориці, потім використовують барієву суміш сметаноподібної консистенції для вивчення стану слизової оболонки. Для уповільнення руху контрастної маси хворому надають горизонтального положення. При просуванні контрастної речовини вивчають положення стравоходу, стан його контурів, тонус, еластичність стінок, перистальтику. Усі виявлені патологічні зміни необхідно документувати рентгенографічно, виконуючи прицільні знімки.
Ширина контрастованого стравоходу у різних відділах коливається від 1 до 3 см. Контури стінки рівні, чіткі. Перистальтичні хвилі рухаються зі швидкістю близько 3 см за 1 с. Нормальний рельєф слизової оболонки стравоходу рентгенологічно характеризується 3-4 поздовжніми складками. Товщина стінки стравоходу, яка виявляється за допомогою УЗД, КТ, МРТ, становить 3-5 мм.
Показом до рентгенологічного дослідження стравоходу є дисфагія та неприємні відчуття в ділянці стравоходу.
Металеві сторонні тіла стравоходу легко виявляються при рентгенологічному дослідженні. Такі сторонні тіла як монети, гудзики, голки, шпильки, цвяхи майже завжди вільно проходять через стравохід у шлунок. У стравоході найчастіше затримуються риб’ячі і м’ясні кістки, які застрягають, як правило, на рівні анатомічних та фізіологічних звужень. Для виявлення дрібних кісточок, які не дають тіні при звичайному рентгенологічному дослідженні, потерпілому пропонують випити чайну ложку сметаноподібної барієвої суспензії, а потім зробити 2-3 ковтки води. При проходженні стравоходом контрастна речовина обмазує стороннє тіло і частково затримується на ньому, вказуючи його наявність та локалізацію. Безпосередні сторонні тіла виявляються за допомогою ендоскопії, УЗД, КТ, МРТ.
Дивертикулом зветься обмежене випинання стінки порожнистого органа. Дивертикули можуть виявлятись у будь-якому відділі шлунково- кишкового тракту, найчастіше вони трапляються у стравоході, дванадцятипалій та товстій кишках.

Мал. 167. Дивертикул та звуження стравоходу на рентгенограмі.
1 - тракційний дивертикул;
2 - звуження стравоходу через аденопатію середостінних лімфовузлів.
У дивертикулах розрізняють дно, тіло та шийку.
Анатомічно розрізняють справжні та несправжні дивертикули. Справжні дивертикули складаються з усіх трьох шарів стінки шлунково-кишкового тракту, несправжні - тільки із слизової оболонки.
Справжні дивертикули здебільшого є природженими утвореннями, а несправжні частіше є набутими внаслідок м’язової слабкості, коли слизова оболонка під тиском вмісту поступово випинається через щілину у м’язовій оболонці. Невеликі дивертикули клінічно зазвичай нічим себе не виявляють. При великих дивертикулах відбувається застій вмісту, починається його бродіння, гниття, що викликає запальний процес, який проявляється болем за грудиною, неприємним запахом з рота, диспепсичними розладами.
За формою розрізняють тракційні та пульсійні дивертикули стравоходу. Тракційні дивертикули (лат. traccio - тягну). Тракційні дивертикули утворюються у дитячому віці, коли стравохід росте, внаслідок витягування стінки стравоходу спайками, які виникли через запальні процеси і зв’язують його з сусідніми органами. Найчастіше вони локалізуються на рівні біфуркації трахеї. Частою причиною тракційних дивертикулів стравоходу є спайки з ураженими туберкульозом лімфовузлами Середостіння. Тракційні дивертикули мають загострену верхівку, належать до справжніх дивертикулів і здебільшого відзначаються невеликими розмірами (мал. 167). Внаслідок внутрішнього тиску тракційні дивертикули з часом перетворюються на тракційно-пульсійні.
Пульсійні дивертикули (лат. рulsо - тисну) можуть розвиватись внаслідок недорозвитку м’язового шару, або запального процесу у стінці стравоходу, через що під тиском травної грудки виникає випинання слизової та підслизової оболонок. Пульсійні дивертикули мають округлу форму, чіткі контури, різні розміри (від кількох міліметрів до кількох сантиметрів), можуть бути справжніми і несправжніми, поодинокими та множинними.
Значної величини може досягати пульсійний глотково-стравохідний або ценкерівський дивертикул, який описав Zenker у 1877 році. Він розміщений в місці переходу глотки у стравохід під нижнім стискачем глотки.

Мал. 168. Ахалазія кардіального отвору шлунка на рентгенограмі контрастованого стравоходу.
Розвиток дивертикулів може призводити до ускладнень у вигляді дивертикуліту, езофагіту, перфорації дивертикулів у Бронхи, середостіння, аорту, осердя, може утворитись стравохідно-бронхова або стравохідно-середостінна нориця. Рентгенологічними ознаками дивертикуліту є горизонтальний рівень рідини над рівнем барієвої суміші, нерівність контуру дивертикулу, викликана набряком слизової оболонки, і тривала затримка барієвої суміші в дивертикулі.
Ахалазією, або кардіоспазмом зветься тривалий спазм кардіального отвору шлунка, внаслідок чого їжа затримується в стравоході, що поступово призводить до його розширення. Спазм кардії викликається рефлекторно, причиною чого можуть бути різні Запальні захворювання стравоходу, виразки шлунка та дванадцятипалої кишки, захворювання печінки, жовчного міхура, підшлункової залози. До щезання рефлексу розкриття кардіального отвору шлунка призводить порушення іннервації та загибель гангліозних нервових клітин.
Хворі скаржаться на періодичні, іноді доволі тривалі, затримки їжі, дискомфорт після приймання їжі, зригування. Характерним є те, що проходженню їжі сприяє кілька ковтків холодної води.
Рентгенологічно розрізняють 4 стадії ахалазії: I - затримка барієвої суміші у черевній частині стравоходу на декілька хвилин, конічне звуження абдомінального кінця стравоходу, просвіт стравоходу не розширений; II - затримка барієвої суміші у стравоході, просвіт грудної частини стравоходу дифузно розширений до 4-5 см, барієва суміш надходить у шлунок окремими порціями; III - тривала (на кілька годин) затримка барієвої суміші у стравоході, просвіт стравоходу розширений до 6-8 см; IV - затримка барієвої суміші у стравоході на 1 добу і більше, просвіт стравоходу розширений до 10-12 см. ПЕРША ТА ДРУГА стадії є функціональними, вони характеризуються збереженням тонусу стравоходу та його перистальтики. Приймання нітрогліцерину, або внутрішньом’язове Введення ацетилхоліну у цих стадіях призводить до розкриття кардіального отвору. Третя та четверта стадії є органічними, тонус знижений, перистальтика відсутня, крім розширення спостерігається подовження стравоходу з утворенням вигинів (мал. 168).
Халазією стравохідно-шлункового переходу зветься недостатнє закриття кардіального отвору шлунка, внаслідок чого відбувається зворотне потрапляння вмісту шлунка до стравоходу (гастроезофагеальний рефлюкс) і розвиток рефлюксезофагіту. Причиною халазії може бути грижа стравохідного розтвору діафрагми, природжений короткий стравохід, підвищений тиск у черевній порожнині внаслідок пухлин, метеоризму, асциту тощо. Гастроезофагеальний рефлюкс виявляється у горизонтальному положенні за допомогою рентгеноконтрастного та радіонуклідного методів променевого дослідження (див. «Дискинезії стравоходу»).

Мал. 169. Звуження стравоходу на рентгенограмі (схема). А - злоякісної природи (рак); Б - доброякісної природи (лужний опік).
Опіки стравоходу трапляються зазвичай внаслідок вживання кислот та лугів, рідше зустрічаються термічні опіки. У перебігу опіків описують гостру стадію та стадію наслідків. У гострій стадії, що продовжується кілька днів чи тижнів, переважають явища гіперемії та набряку слизової оболонки з утворенням ерозій та виразок. У тяжких випадках опіків можуть спостерігатися некротичні зміни стінки та її прорив. У стадії наслідків утворюються грануляції та рубцеві зміни, які призводять до звужень органа та його деформацій. Найбільше опіки проявляють себе у місцях звужень стравоходу. Рентгенологічне дослідження роблять після стихання гострих явищ, зазвичай не раніше тижня після опіку. У першій стадії здебільшого визначається спазми стравоходу, або, навпаки, зниження його тонусу. Просвіт стравоходу нерівномірно звужений через спазми та набряк слизової оболонки. Контури стравоходу нерівні, нечіткі, спостерігається налипання контрастної речовини на складках і між ними. У другій стадії виявляються звуження різного ступеня, що мають звичайно конусоподібну форму, контури стравоходу деформовані, зазублені, нечіткі. Рентгенівська картина опіків стравоходу у другій стадії часто нагадує його злоякісне ураження. Для диференційної діагностики звертають увагу на ділянку переходу звуженої частини стравоходу у розширену, яка при раку має підритий контур (мал. 169). Важливе значення має Анамнез хвороби.
Розширення вен стравоходу розвивається внаслідок утрудненого відтікання крові через вену воріт печінки. Ураженою є, як правило, нижня половина стравоходу. На рентгенограмі венозні вузли, що виступають у просвіт стравоходу, визначаються при контрастному дослідженні у вигляді чисельних округлих ділянок просвітлення з рівними, чіткими контурами. Зовнішні контури тіні стравоходу зазублені, фестончасті. Рентгеноскопічна картина розширення вен мінлива, перистальтика та евакуація стравоходу не змінюється, його стінка зберігає тонус та еластичність.

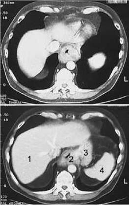
Мал. 170. Рак нижньої третини стравоходу на КТ.
1 - Печінка;
2 - потовщення стінки (пухлина) стравоходу;
3 - дно шлунка;
4 - Селезінка.
Пухлини стравоходу можуть бути доброякісними та злоякісними. Доброякісні пухлини (лейоміоми, поліпи, фіброми та ін.) зустрічаються у 10 разів рідше за злоякісні. При контрастному дослідженні стравоходу вони виявляються у вигляді дефекту наповнення з чіткими рівними контурами. Стінки стравоходу в ділянці пухлини еластичні, а складки - еластичні та типово (поздовжньо) спрямовані. На КТ, МРТ, а також УЗД із застосуванням внутрішньостравохідного датчика доброякісні пухлини виявляються у вигляді локального стовщення стінки.
Рак стравоходу переважно зустрічається у людей віком понад 40 років, у чоловіків удвічі частіше, ніж у жінок. Частіше рак уражає нижню третину стравоходу, що є наслідком хронічного гастроезафагального рефлюксу. Клінічні ознаки хвороби виникають пізно. Найбільш ранньою ознакою є дисфагія, пізніше спостерігається біль за грудиною, гнильний запах з рота, посилене слиновиділення, кволість, схуднення. Рак стравоходу розвивається із слизової оболонки, за гістологічною будовою належить до аденокарцином і має дві основні форми: ендофітну та екзофітну.
Ендофітний рак інфільтрує стінку стравоходу, дифузно проростає усі шари стінки і не виступає у порожнину органа. Інфільтрована пухлиною стінка травного каналу потовщена, випрямлена, щільна, що можна виявити за допомогою КТ, МРТ, УЗД (мал. 170). Рентгенологічно виявляється звуження просвіту стравоходу з нерівними контурами, ригідність стінок, відсутність перистальтики, супрастенотичне розширення (мал. 171). Складки слизової оболонки в ділянці пухлини спочатку стають ригідними (непіддатливими, не еластичними), а пізніше перестають диференціюватись.
Екзофітний, або поліпоподібний рак росте в просвіт стравоходу, зв’язаний із стінкою тонкою ніжкою (має вигляд гриба) і може досягати значної величини. Дефект наповнення екзофітного раку на рентгенограмах контрастованого стравоходу має нечіткий, нерівний контур, спостерігається симптом налипання контрастної речовини. На місці пухлини складки слизової оболонки обриваються, стінка стравоходу втрачає еластичність, стає непіддатливою, може бути порушення прохідності.

Мал. 171. Рак стравоходу (стрілка) на рентгенограмі у лівій бічній проекції.
Якщо всередині пухлини відбувається розпад, то рентгенологічно в центрі пухлини виявляється «ніша» з нерівними, припіднятими краями.
Дискінезії стравоходу проявляються функціональними порушеннями його тонусу та перистальтики. Найпоширенішим проявом дискинезії є поєднання недостатності кардії з гастроезофагеальним рефлюксом - закиданням вмісту шлунка до стравоходу. За допомогою радіонуклідного методу дослідження гастроезофагеальний рефлюкс виявляється таким чином. Хворий стоячи випиває 150 мл водної суспензії сірки, міченої 99mТс, і через 10 хвилин приймає горизонтальне положення. Легке натискання на передню черевну стінку призводить до переходу у стравохід вмісту шлунка, що реєструється на серії сцинтиграм.
Спонтанний гастроезофагеальний рефлюкс може періодично з’являтись і у здорових людей, що важко виявити. Проте Методика компресії живота з вимірюванням внутрішнього діаметру контрастованого стравоходу на рентгенограмі в ділянці кардії (якщо він більший за 2,5 см) забезпечує точність 80% в діагностиці рефлюксу.
Последнее обновление: 05/02/2024
Редакционная и учебная адаптация: Данный материал сведен на основе первоисточника/оригинального текста. Команда проекта осуществила редакционную обзорную обработку, исправление технических неточностей, структурирование разделов и адаптацию содержания к учебному формату.
Что было обработано:
- устранение форматных дефектов (OCR-ошибки, разрывы структуры, дефектные символы);
- редакционное упорядочивание содержания;
- унификация терминов в соответствии с академическими источниками;
- проверка соответствия фактических утверждений текста первоисточнику.
Все упоминания об авторе, годе издания и происхождении первичного текста сохранены в соответствии с источником.