Медична радіологія - Лазар А.П. 2008
Променеве дослідження органів сечостатевої системи
Запальні захворювання
Гострий пієлонефрит клінічно проявляється болем у попереку, дизурією, високою температурою тіла, позитивним симптомом Пастернацького. На оглядовій рентгенограмі часто можна виявити нечіткість контуру поперекового м’яза, збільшення ураженої нирки зі смужкою просвітлення навколо неї внаслідок набряку навколониркової клітковини. Під час екскреторної урографії виявляються ознаки порушення функції нирки: послаблене і більш пізнє контрастування органа. Зменшення концентраційної здатності нирки веде до уповільнення виведення контрастної речовини. Окрім цього виявляється деформація миски і чашечок внаслідок набряку та інфільтрації їх стінок(мал. 246). Пізніше відбувається розширення деформованої миски до 2-3 см - пієлектазія.

Мал. 246. Гострий пієлонефрит на рентгенограмі (схема).
1 - атрофія паренхіми із заглибленнями, розташованими навпроти чашечок;
2 - основи чашечок плоскі або опуклі.
За допомогою УЗД можна виявити збільшення нирки, конкременти, гідронефротичну трансформацію нирки, внутрішньониркові чи приниркові абсцеси внаслідок прогресування пієлонефриту. Комп’ютерна томографія на ранніх стадіях пієлонефриту може виявити плямисті запальні ділянки ниркової паренхіми (мал. 247), пізніше виявляється збільшення нирки, нечіткість її контурів, потовщення ниркової фасції та набряк приниркового жирового тіла.
Сцинтиграфія з 99mTc-глюкогептонатом раніше за УЗД і КТ виявляє при пієлонефриті запальне вогнище. Ренографія фіксує зменшення швидкості виведення РФП (99mTc-MAG-3, 131І-гіппуран), а пізніше - сплощення верхівки ренографічної кривої, розтягнутість її першого та другого відрізків (мал. 248).

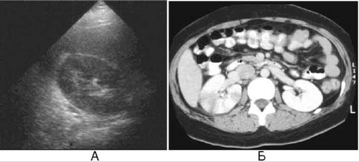
Мал. 247. Гострий правобічний пієлонефрит.
А - Ультразвукове дослідження виявляє збільшення нирки з втратою кірково-мозкової диференціації (набряк).
Б - на комп’ютерній томограмі відзначається збільшення правої нирки та смуги зниженої денситометричної щільності в паренхімі нирки.

Мал. 248. Пієлонефрит правобічний (ренограма).
Крива лівої нирки нормального типу (Tmax = 3 хв, Т1/2 = 17 хв), початкове порушення екскреторної функції. Крива правої нирки паренхіматозного типу (Тmax = 6 хв, Т1/2 - не визначається).
Гострий пієлонефрит може перейти у хронічний, або ускладнитись розвитком абсцесу, карбункулу, паранефриту, які виявляються методами УЗД, КТ та МРТ
Гломерулонефрит характеризується зазвичай двобічним ураженням нирок і проявляється зміною розмірів нирок, розширенням та ущільненням кіркового шару, що виявляється методами УЗД, КТ, МРТ. Ренографію краще виконувати з 99mТс-ДТПА, тому що цей РФП виділяється нирковими клубочками, які при цьому захворюванні вражаються у першу чергу. Ренографічна крива при гломерулонефриті сплощена.
Туберкульоз нирок спочатку уражає переважно верхівки пірамід, тому на ранніх стадіях розвитку захворювання з’являється папіліт, що рентгенологічно характеризується виразками сосочка і проникненням контрастної речовини в паренхіму. Крім того, виявляється асиметрія сосочків, нерівність контурів чашечок та їх деформація (мал. 249). У виражених випадках захворювання в паренхімі нирки виявляються туберкульозні каверни - порожнини неправильної форми з нерівними контурами, неоднорідним вмістом, оточені ущільненою тканиною. Також при туберкульозі у нирках виявляються звапнення, грубі деформації і стриктури.

Мал. 249. Туберкульоз нирки на рентгенограмі (схема).
1 - додаткове зображення каверни чашечки;
2 - звуження малої чашечки;
3 - стиснення основи малої чашечки і атрофія паренхіми кіркової речовини.

Мал. 250. Пухлина нирки на рентгенограмі (схема).
1 - край чашечки розтягнутий на периферії;
2 - округлий випин зовнішнього контуру нирки;
3 - сплющення основи чашечки.
Последнее обновление: 05/02/2024
Редакционная и учебная адаптация: Данный материал сведен на основе первоисточника/оригинального текста. Команда проекта осуществила редакционную обзорную обработку, исправление технических неточностей, структурирование разделов и адаптацию содержания к учебному формату.
Что было обработано:
- устранение форматных дефектов (OCR-ошибки, разрывы структуры, дефектные символы);
- редакционное упорядочивание содержания;
- унификация терминов в соответствии с академическими источниками;
- проверка соответствия фактических утверждений текста первоисточнику.
Все упоминания об авторе, годе издания и происхождении первичного текста сохранены в соответствии с источником.