Медична радіологія - Лазар А.П. 2008
Променеве дослідження органів травної системи
Захворювання шлунка
У рентгенівському зображенні при положенні хворого стоячи у прямій проекції Шлунок розміщений вертикально, ліворуч від хребта, лише вихідний відділ його перетинає хребет і частково знаходиться праворуч від нього. У горизонтальному положенні хворого шлунок зміщується догори і займає косе положення. Розміри шлунка і його положення багато в чому залежать від конституціональних особливостей людини та її вгодованості.
У більшості людей шлунок звичайно має форму рибальського гачка; у високих худих людей доліхоморфного типу - видовженої форму панчохи; у невисоких людей брахіморфного типу - форму бичого рога, розташований він у такому випадку горизонтальніше і вище (мал. 172).

Мал. 172. Морфологічні типи форми шлунка на рентгенограмі у прямій проекції (схема).
А - рогу;
Б - гачка;
В - панчохи;
Г - каскадний.
Шлунок змінює свою форму та розміри залежно від ступеню наповнення, тонусу стінок, стану навколишніх органів, положення людини, фази Дихання. Порожній шлунок не торкається передньої черевної стінки, а спереду від нього тоді знаходиться поперечна ободова кишка. При значному наповненні місткість шлунка збільшується до 4 л і він опускається до рівня пупка, або ще нижче (зазвичай нижній край великої кривини шлунка проектується на 3 см вище пупка).
Анатомічно у шлунку розрізняють такі частини: склепіння (або дно, розташоване під лівим куполом діафрагми); кардіальна частина (розміщена довкола кардіального отвору); тіло шлунка; воротарна, або пілорусна частина, порожнина якої складається з воротарної печери (антральний відділ) та воротарного каналу; воротар (пілорус) - звужена частина шлунка, що з’єднує його з дванадцятипалою кишкою. В рентгенології виділяють ще субкардіальний відділ, розташований нижче рівня кардіального отвору, та передворотарний відділ, розміщений за 2-3 см до воротаря шлунка (мал. 173).
Променевими методами дослідження у шлунку виявляється певна кількість повітря, що заковтується людиною під час їжі та розмови. У вертикальному положенні це повітря утворює газовий пухир, який розташовується у склепінні шлунка. Газовий пухир шлунка є постійним утворенням, який виникає у людини в момент народження. Його наявність вважається в судовій медицині ознакою народження дитини живою, його відсутність у хворого часто є ознакою ракового ураження шлунка.
У бічній проекції позаду шлунка виявляється ретрогастральний простір, який в нормі не перевищує ширини поперекового хребця (мал. 174). Він може збільшуватись при збільшенні маси тіла хворого, у гіперстеніків та при об’ємних захворюваннях підшлункової залози.

Мал. 173. Відділи шлунка.
1 - склепіння; 2 - кардіальна частина; 3 - субкардіальний відділ; 4 - тіло шлунка; 5 - кут шлунка; 6 - воротарна частина; 7 - антральний відділ; 8 - передворотарний відділ; 9 - воротар.

Мал. 174. Рентгенограми контрастованого шлунка у положенні стоячи (схема):
А - з тонким шаром контрастної маси, що дозволяє виявити рельєф слизової оболонки; Б - у прямій проекції; В - у правій косій проекції з компресією для вивчення кутової вирізки; Г - у бічній проекції.
Товщина стінки шлунка в нормі становить 0,3-0,5 см. У тілі шлунка виявляють 4-5 поздовжніх складок, розміщених паралельно малій кривині (мал. 175). Косі складки, переходячи з передньої стінки шлунка на задню, зумовлюють зубчастість великої кривини. Найвищі та найширші складки виявляють у склепінні та нижній частині тіла шлунка. При роздуванні шлунка складки розправляються та щезають, після чого на рентгензнімках можна простежити тонкий рельєф слизової оболонки-шлункові поля (ареоли) - округлі підвищення розміром 2-3 мм. Газовий пухир шлунка у нормі має округлу форму, рідина та слиз натщесерце відсутні, одночасно на контурі шлунка розрізняють 2-3 перистальтичні хвилі, які починаються від середини тіла і згасають біля воротаря.
Функціональні порушення шлунка можуть спостерігатись при патологічних процесах як у ньому, так і в інших органах черевної порожнини. Розрізняють функціональні порушення за гіпертонічним (спостерігаються в гострий період запальних захворювань), гіпотонічним (характерні для періоду ремісії хронічного захворювання) та мішаним типами (виявляються в період загострення хронічного запального процесу).
Функціональні порушення за гіпертонічним типом характеризуються такими рентгенологічними симптомами: тонус шлунка підвищений, розташований високо, косо або горизонтально, кут шлунка збільшений, синус згладжений, газовий пухир орієнтований горизонтально, розмір може бути зменшеним, воротарна частина може бути ротованою. У гіпертонічному органі, завдяки зменшенню його розмірів, складки слизової оболонки стають вищими, а борозни між складками - глибшими, внаслідок чого рельєф оболонки диференціюється більш чітко. Секреція характеризується наявністю рідини та слизу в шлунку до дослідження і значним збільшенням їх кількості в процесі дослідження. Спазми, тотальні чи локальні, найінтенсивніші у вихідному відділі шлунка і воротарі. Характерним є локальний спазм на рівні патологічного процесу, наприклад, при виразковій хворобі - на рівні виразки. Різко виражені спазми можуть викликати перегини у різних відділах шлунка. Перистальтичні хвилі починаються високо, вони глибокі та часті, можливі сегментуючі хвилі.

Мал. 175. Рельєф слизової оболонки на рентгенограмі (схема).
А - шлунка; Б - дванадцятипалої кишки; В - основи цибулини дванадцятипалої кишки; Г - формування малюнку рельєфу;
1 - задня стінка; 2 - передня стінка; 3 - складка; 4 - борозна.

Мал. 176. Хронічний антральний гастрит на рентгенограмі з подвійним контрастуванням (А) та комп’ютерній томограмі з пероральним та внутрішньовенним контрастуваннм (Б). Потовщені складки слизової оболонки і стінка шлунка (стрілка).
Функціональні порушення за гіпотонічним типом пов’язані зі зниженням тонусу шлунка. При рентгенологічному дослідженні шлунок збільшений, його тіло подовжене, кут загострений, нижня частина тіла розтягнена, воротарний відділ спрямований вгору, розташований скісно чи вертикально. Через розтягненість шлунка складки слизової оболонки сплощені, витягнуті, а міжскладкові проміжки менш глибокі, тому рельєф слизової оболонки диференціюється менше. Перистальтика послаблена, глибина і швидкість проходження перистальтичних хвиль зменшена.
Функціональні порушення за мішаним типом характеризуються тим, що тонус шлунка залежить від його стану до загострення хвороби, тобто у період ремісії, і визначає, буде шлунок гіпер-, нормо- чи гіпотонічним. Евакуаторна функція шлунка може змінюватись протягом одного дослідження - від прискореної до сповільненої.
Хронічний гастрит. Основну роль у діагностиці хронічного гастриту відіграє ендоскопія. Рентгенодіагностика різних форм хронічного гастриту грунтується на таких найбільш типових морфологічних і функціональних ознаках. Стінка та складки шлунка стають товстішими. Потовщення складок супроводжується збільшенням їх висоти та довжини (мал. 176). Стовщення складок призводить до звуження борозенок між ними. Внаслідок подовження складок їх напрямок стає більш звивистим. Ареоли набувають неправильної форми і розширюються до 5 мм і більше. Подальший перебіг хвороби призводить до атрофії складок і послаблення стільникового малюнка шлункових полів (атрофічний гастрит) або появи чисельних ерозій (ерозивний гастрит).

Мал. 177. Виразкова ніша на рентгенограмі шлунка (схема).
А - на контурі; Б - на рельєфі.
Функціональні зміни шлунка при хронічному гастриті відбуваються за гіпертонічним типом, а саме: гіперсекреція, наявність рідини в шлунку натщесерце, посилення перистальтики, підвищення тонусу шлунка, аж до тривалих спазмів, особливо в антральному відділі.
Виразка шлунка. Переважною локалізацією виразки шлунка є мала кривина, найчастіше у субкардіальному відділі та середній третині тіла шлунка. Розрізняють гострі і хронічні виразки шлунка. Гостра виразка шлунка являє собою дефект стінки округлої форми з боку слизової оболонки, який проникає на різну глибину. Прямим рентгенологічним симптомом виразки є «ніша» в стінці. Якщо нішу видно у профіль, то вона має вигляд виступу на контурі шлунка (контурна ніша), а якщо в анфас - тоді вона має вигляд округлого скупчення контрастної маси, оточене світлим обідком (рельєфна ніша) (мал. 177).
Ніша на контурі шлунка при гострій виразці має вигляд лійки. Навколо виразки є виражене запалення, яке виступає над поверхнею слизової у вигляді валка. Запальний процес іноді поширюється на значну відстань від виразки, що проявляється стовщенням і набряклістю складок слизової оболонки (виразковий гастрит).
Хронічна виразка шлунка характеризується розвитком сполучної Тканини навколо виразкового заглиблення, тому її часто називають змозолілою або кальозною. При хронічних виразках внаслідок запальних змін слизової оболонки відзначається характерна деформація складок у вигляді радіального їх сходження (конвергенції) до ніші (мал. 178), що є прогностично доброю ознакою, тому що виникає частіше при загоюванні виразки. Контурна ніша хронічної виразки має звужену основу і плоску, або заокруглену верхівку (мал. 179).

Мал. 178. Хронічна виразка на рентгенограмі шлунка з контрастуванням (А) та на прицільній рентгенограмі (Б).
1 - виразкова рельєфна ніша; 2 - потовщені складки.

Мал. 179. Хронічна виразка вздовж малої кривини на прицільній рентгенограмі шлунка (А). Стрілка вказує на контурну нішу.
До непрямих рентгенологічних симптомів виразки належить функціональне порушення шлунка за гіпертонічним типом. Регіональний спазм на рівні виразки формує втягування контуру стінки шлунку на протилежному до виразки боці - симптом «перста, що вказує на виразку».
Ускладненням виразки може бути її пенетрація, перфорація, малігнізація, кровотеча з неї, а також стеноз воротаря.
Коли виразка проникає у сусідній орган, її називають пенетруючою. Для пенетруючої виразки характерна наявність трьох шарів у її кратері у вертикальному положенні хворого: шару барієвої суспензії, шару рідини над суспензією і над рідиною - шару повітря. Залежно від локалізації виразки в стінці шлунка можна зробити припущення про те, в який орган сталася пенетрація: при локалізації на малій кривині шлунка пенетрація найчастіше виявляється в печінково-шлункову зв’язку; при локалізації виразки на задній стінці шлунка - у підшлункову залозу; при локалізації на передній стінці шлунка - у ліву частку печінки.
Проникнення виразки в очеревинну порожнину називається її перфорацією. Газ у черевній порожнині займає найвище положення (під діафрагмою при вертикальному положенні; у протилежному бічному каналі - при положенні хворого на боці). Вільний газ легко виявляється рентгенологічно (у вигляді смуги просвітлення), а також за допомогою КТ, МРТ і УЗД.
Малігнізація виразки виявляється у 10-12% хворих на хронічну виразку. Порушується правильна форма виразкової порожнини, її контури стають нечіткими та зазубленими. Запальний вал переходить в незмінену стінку у вигляді виступу. Злоякісне переродження виразки не завжди вдається точно встановити. Уточнити діагноз допомагають гастроскопія з біопсією.
Кровотеча з виразки не є протипоказанням для проведення контрастного рентгенологічного дослідження, яке утруднене в цей період через функціональні спазми шлунка.
Стеноз воротаря шлунка розвивається внаслідок рубцювання виразки воротаря, або через ріст пухлини, що звужує воротарний канал. Розрізняють компенсований, субкомпенсований та декомпенсований ступені стенозу. За наявності компенсованого стенозу шлунок дещо гіпотонічний, містить невелику кількість рідини та слизу, евакуація відбувається невеликими порціями, через 24 години шлунок звільняється від контрастної маси. При субкомпенсованому стенозі шлунок гіпотонічний, вміщує велику кількість рідини та слизу із залишками їжі, через 24 години у ньому залишається до 1/3 об’єму прийнятої контрастної суміші. У разі виникнення декомпенсованого стенозу шлунок гіпотонічний, має великі розміри, містить багато рідини, слизу, залишків їжі, через 24 години у шлунку залишається більше половини об’єму контрастної маси.

Мал. 180. Поліпоз шлунка на рентгенограмі. Виявляються чисельні дефекти наповнення.
Нерідко з виразками плутають дивертикули шлунка. Дивертикули шлунка є справжніми. У 3/4 випадків вони розташовуються на задньомедіальній стінці у субкардіальному відділі шлунка. Дивертикули мають правильну округлу форму, рівні дугоподібні контури і складки слизової оболонки, які продовжуються в них зі стінки шлунка.
Пухлини шлунка. Розрізняють доброякісні та злоякісні пухлини шлунка. Доброякісні пухлини за гістологічною будовою бувають епітеліальними та неепітеліальними. До епітеліальних пухлин належать поліпи, Папіломи та аденоми, до неепітеліальних - лейоміоми, фіброми, ліпоми, невриноми, судинні пухлини тощо.
Епітеліальні пухлини розвиваються зі слизової оболонки і складаються з паренхіми та строми. Якщо переважає розростання паренхіми, тобто залозистого апарату, то це - аденома. У випадку розростання строми, тобто сполучної тканини, пухлину називають папіломою, або ворсинчастим поліпом. Епітеліальні пухлини можуть бути поодинокими та множинними, розташованими в будь-якому відділі шлунка, але найчастіше в антральній частині. Їх діаметр коливається від 2 мм до 2,5 см. Частіше поліпи та аденоми клінічно не проявляються. Рентгенологічно одиничний поліп характеризується дефектом наповнення округлої форми з чіткими, рівними контурами. Часто поліпи мають ніжку, яка може бути короткою, довгою, широкою та вузькою. За наявності множинних поліпів виявляють велику кількість дефектів наповнення (мал. 180). Перистальтика та евакуація з шлунка не порушені.

Мал. 181. Поліпоз та Рак шлунка на комп’ютерній томограмі. Нерівномірне потовщення стінки шлунка, в якому знаходиться контрастна маса.
Неепітеліальні пухлини розвиваються у підслизовому та м’язовому шарах шлунка. Рентгенологічними ознаками неепітеліальних пухлин є дефект наповнення, перебудова рельєфу слизової оболонки, додатковий утвір під час подвійного контрастування. Дефект наповнення має правильну форму та рівні чіткі контури. Складки слизової оболонки над неепітеліальними пухлинами сплощені або розсунені. У хворих з пухлинами невеликих розмірів форма, тонус та перистальтика шлунка не змінюються.
На думку більшості онкологів, усі доброякісні пухлини шлунково-кишкового тракту, особливо великих розмірів, є передраковим станом, тому що вони часто зазнають злоякісного переродження.
Рак шлунка. Рак є найпоширенішим злоякісним захворюванням шлунка. Хворіють переважно чоловіки віком 40-60 років. Найчастіше рак шлунка локалізується у воротарній частині шлунка. Клінічними ознаками раку шлунка найчастіше є тупий ниючий біль, не пов’язаний з прийомом їжі, нудота, блювання, схуднення. Відповідно до напрямку росту розрізнюють дві основні форми раку шлунка: екзофітну та ендофітну (мал. 181).

Мал. 182. Рентгенологічні форми раку шлунка (схема).
1, 2 - дифузно-інфільтративна форма (місцева ригідність стінки);
3 - дифузно-інфільтративна форма (інфільтрація стінки з випрямленням контуру);
4 - виразково-інфільтративна форма;
5 - екзофітна форма;
6 - звуження тіла;
7 - звуження антрального відділу;
8 - стеноз воротаря;
9 - злоякісна виразка кутової вирізки;
10 - дифузно-інфільтративна форма, що згладжує кутову вирізку.

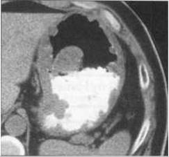
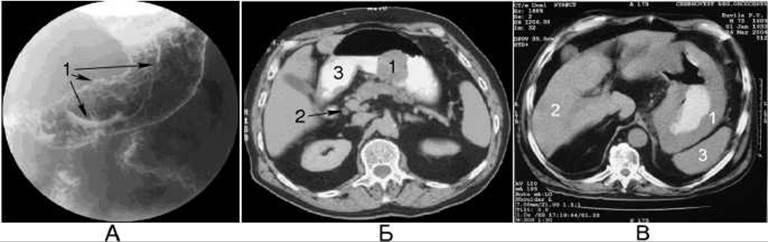
Мал. 183. Рак шлунка. На рентгенограмі шлунка з подвійним контрастуванням (А) виявляється дефект наповнення (1). На комп’ютерній томограмі (Б) виявляється екзофітна форма раку: 1 - пухлина; 2 - лімфатичний вузол; 3 - контрастна маса у шлунку. На комп’ютерній томограмі (В) виявляється ендофітна форма раку: 1 - пухлина; 2 - Печінка; 3 - Селезінка.
Екзофітний рак росте переважно в просвіт шлунка, може бути поліпоподібним і чашоподібним. Поліпоподібні пухлини частіше зустрічаються в ділянці малої кривини та в кардії. Чашоподібна форма раку характеризується припіднятими краями та розпадом у центрі пухлини, розвивається частіше в ділянці великої кривини та в склепінні шлунка. Рентгенознаками екзофітної форми раку є наявність у контрастованому шлунку дефекту наповнення з нерівними контурами (мал. 182, 183). На поверхні чашоподібного раку, у його центрі знаходиться велика виразка - депо контрастної речовини. Складки слизової оболонки обриваються біля краю дефекту наповнення. Ригідність стінки та відсутність перистальтики краще виявляються у випадку локалізації пухлини на краєутворюючому контурі.
Ендофітна форма раку росте переважно внутрішньостінково, може бути виразково-інфільтративною та дифузною (або плоскоінфільтратив- ною, без виразкування). Виразково-інфільтративний рак частіше локалізується у препілоричному відділі та в ділянці малої кривини шлунка. Дифузно-інфільтративний рак локалізується переважно у вихідному відділі, може уражати весь шлунок. Розвиток ендофітної ракової пухлини в шлунку характеризується такими рентгенознаками: появою ригідної ділянки з випрямленими складками слизової оболонки (атиповий рельєф), обривом складок слизової оболонки на краю ураженої ділянки, випрямленням контуру органа та відсутністю перистальтики в ділянці ураження, деформацією органа. Циркулярне поширення ендофітного раку супроводжується звуженням просвіту шлунка.
У разі ендофітної форми раку рентгенівська комп’ютерна томографія є найкращим методом променевого дослідження, за допомогою якого можливо виявити пухлину у вигляді нерівномірного стовщення стінки шлунка з гетерогенним (неоднорідним) посиленням денситометричної щільності після внутрішньовенного контрастування.

Мал. 184. Рак шлунка (ендофітна форма) на сонограмі.
1 - пухлина; 2 - рідина у шлунку.
Для уточнення стадії раку шлунка проводять КТ, МРТ, УЗД, за допомогою яких можна визначити товщину стінки шлунка (мал. 184), ступінь ураження сусідніх органів, збільшення регіональних та заочеревинних лімфовузлів, наявність метастазів.
Злоякісні пухлини та виразки шлунка часто лікуються оперативним шляхом. Рентгенологічно оцінюють ефективність операції, стан оперованого шлунка, можливі ускладнення (мал. 185).
Последнее обновление: 05/02/2024
Редакционная и учебная адаптация: Данный материал сведен на основе первоисточника/оригинального текста. Команда проекта осуществила редакционную обзорную обработку, исправление технических неточностей, структурирование разделов и адаптацию содержания к учебному формату.
Что было обработано:
- устранение форматных дефектов (OCR-ошибки, разрывы структуры, дефектные символы);
- редакционное упорядочивание содержания;
- унификация терминов в соответствии с академическими источниками;
- проверка соответствия фактических утверждений текста первоисточнику.
Все упоминания об авторе, годе издания и происхождении первичного текста сохранены в соответствии с источником.