Медична радіологія - Лазар А.П. 2008
Променеве дослідження органів грудної порожнини
Променева діагностика захворювань органів середостіння
За Міжнародною анатомічною номенклатурою Середостіння умовно поділяють на 4 відділи: верхнє, переднє, середнє і заднє. Верхнє середостіння знаходиться вище горизонтальної лінії, проведеної між місцем з’єднання ручки груднини з її тілом до міжхребцевого диску між IV та V грудними хребцями. Середнє середостіння містить Серце з осердям і корені легень. Переднє середостіння знаходиться перед серцем і коренями легень, а заднє середостіння - позаду.
На рентгенограмі у прямій проекції органи середостіння постають у вигляді інтенсивної серединної тіні, в утворенні якої основну роль відіграють серце та великі судини. На рентгенограмі у бічній проекції у верхньому середостінні можна простежити вертикальну смугу просвітлення трахеї завширшки 1,5—2,0 см, тінь дуги аорти, у дітей - тінь вилочкової залози; на тлі просвітлення загруднинного простору можна побачити легеневий малюнок верхніх часток легень. У передньому середостінні на тлі ретростернального простору помітний легеневий малюнок язичкових сегментів, сегментів середньої частки легень. У середньому середостінні добре помітна тінь серця, а під біфуркацією трахеї - корені легень. У задньому середостінні на фоні ретрокардіального простору простежується легеневий малюнок нижніх часток легень, а у людей похилого віку часто помітна склерозована низхідна частина аорти. Лімфовузли середостіння у нормі не дають тіні і стають помітні на рентгенограмі тільки у разі збільшення або звапнення.

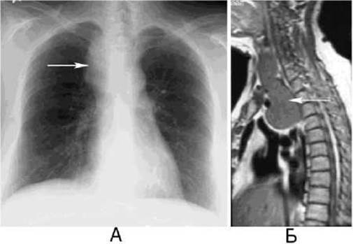
Мал. 131. Невринома (стрілка) та типова локалізація захворювань органів середостіння (рентгенографія).
А - пряма проекція; Б - бічна проекція.
Часто різні захворювання органів середостіння мають подібні клінічні прояви: біль або відчуття стиснення за грудиною, задишка, кашель, тахікардія, дисфагія, невралгія, компресійний синдром. Іноді вони не дають ніяких клінічних симптомів, а виявляються під час профілактичних рентгенологічних досліджень.
Локалізація патологічного утвору у середостінні на рентгенограмі у прямій проекції характеризується наявністю патологічної тіні з переважаючим вертикальним розміром, що формує зверху та знизу з серединною тінню тупі кути (мал. 131 А). Об’ємний утвір відхиляє середостінну плевру назовні, майже нерухомий під час Дихання.
За допомогою лінійної томографії, бронхографії, ангіографії можна краще виявити положення патологічного утвору, його структуру, зміщення та стиснення трахеї і головних бронхів. Останнім часом травматична рентгенологічна Методика з використанням Введення газу у середостіння - пневмомедіастинографія - повністю витіснена томографічними методами дослідження. Висока роздільна здатність, можливість виявлення внутрішньої структури патологічного утвору, встановлення взаємовідношень, зокрема проростання у суміжні структури, визначення різних тканин за денситометрічною щільністю при КТ та інтенсивністю сигнала при МРТ робить ці Методи променевого дослідження високочутливими та високоспецифічними в діагностиці захворювань органів середостіння.
Основними захворюваннями органів середостіння є пухлини, кісти та запалення сполучної Тканини (медіастиніт).
Злоякісні пухлини, що уражують внутрішньогрудні Лімфатичні вузли, або лімфоми (лімфосаркома, лімфогранульоматоз, Лімфолейкоз) та метастази у ці лімфовузли мають подібні клінічні та рентгенологічні прояви. Хворі скаржаться на загальну втому, біль в ділянці грудної клітки, кашель, підвищення температури тіла, зниження маси тіла. Рентгенологічно в прямій проекції виявляється двобічне, рідше однобічне, розширення серединної тіні, зовнішній контур якої горбистий і доволі чіткий. Корені легень розширені за рахунок збільшення бронхолегеневих лімфовузлів. У бічній проекції помітна тінь неправильної форми переважно у верхньому середостінні. На лінійних, комп’ютерних і магнітно-резонансних томограмах збільшення лімфовузлів середостіння виявляється чітко, часто супроводжується зміщенням трахеї і головних бронхів. Для злоякісних пухлин характерний швидкий ріст і проростання у навколишні органи (трахею, Стравохід, стінку аорти, перикард). Лімфосаркома та лімфолейкоз мають високу чутливість до променевої терапії, лімфогрануломатоз - низьку, а доброякісні пухлини зовсім не реагують на промені. Диференційний діагноз проводять на основі аналізу крові та даних біопсії збільшеного периферійного або внутрішньогрудного лімфовузла за допомогою трансторакальної чи трансбронхіальної біопсії. Для дифдіагностики з туберкульозом внутрішньогрудних лімфовузлів враховують дані анамнезу, наявності туберкульозних вогнищ в легенях, туберкулінових проб.
Доброякісні пухлини та кісти, як правило, розташовуються поодиноко, їхні розміри збільшуються повільно роками. Вони зміщують сусідні органи (трахею, стравохід), клінічні прояви тривалий час відсутні, на рентгенограмах у прямій проекції патологічна тінь однобічна, має чіткі контури.
Визначення локалізації патологічної тіні на рентгенограмі органів грудної клітки у бічній проекції, або на КТ чи МРТ, часто є вирішальним фактором для виявлення природи захворювання і постановки діагнозу (мал. 131Б).

Мал. 132. Загрудинний зоб (стрілка) на рентгенограмі (А) та магнітно-резонансній томограмі (Б).
Загрудинний зоб розміщується у верхньому середостінні. Він розвивається із клітин щитоподібної залози, відщеплених під час ембріонального розвитку. На рентгенограмі у бічній проекції контури тіні чіткі, зверху вона ширша і поступово переходить у тінь м’яких тканин шиї, знизу вужча і може досягати дуги аорти (мал. 132). Часто спостерігається стиснення і зміщення трахеї.
Тимома - пухлина вилочкової залози, що уражає переважно молодих чоловіків. Розвиток пухлин і кіст вилочкової залози часто проявляються ознаками прогресуючої м’язової кволості (міастенії), симптомами стиснення трахеї з утрудненням дихання, порушенням кровообігу, дисфагічними явищами. Тимома має овальну форму, розташована в передньому і верхньому середостінні (мал. 133). Доброякісні пухлини становлять переважну більшість пухлин вилочкової залози (80%), але з часом вони можуть ставати злоякісними. Для диференційної діагностики доброякісних і злоякісних пухлин потрібно враховувати їх темпи росту, зв’язок із прилеглими органами. Тінь доброякісної пухлини однорідна, контури рівні та чіткі. Про наявність злоякісного процесу свідчать швидке збільшення розмірів пухлини, поява хвилястих контурів, втрата їх чіткості. При доброякісному рості спостерігається зміщення органів середостіння пухлиною, а при злоякісному - проростання пухлини в них.
Трахеобронхогенні та езофагоентерогенні кісти - це вади розвитку, що виникають внаслідок відшарування ембріональних тканин, з яких розвиваються Повітроносні шляхи і стравохід. Трахеобронхогенна кіста розміщена зазвичай справа від трахеї чи під біфуркацією трахеї. Вона має круглу або овальну форму, однорідну структуру, чіткий зовнішній контур, може досягати великих розмірів (до 10 см). Контрастований стравохід на рівні кісти дугоподібно відхилений назад, дещо стиснений. Іноді у капсулі кісти спостерігають вкраплення солей кальцію. Розвиток трахеобронхогенної кісти може ускладнюватися запаленням, нагноєнням, її проривом у бронх або трахею. У такому випадку в середостінні утворюється порожнина з горизонтальним рівнем рідини.

Мал. 133. Тимома (стрілка) дитини на рентгенограмі у прямій проекції.
Езофагоентерогенна кіста найчастіше локалізується у задньому середостінні, зв’язана зі стравоходом, який може бути дугоподібно відхилений і стиснений. Контур стравоходу чіткий, рельєф слизової оболонки не змінений.
Дермоїдні кісти та тератоми також пов’язані з вадами розвитку людини. Дермоїдні кісти побудовані з товстої сполучнотканинної оболонки, вистеленої епітелієм, а тератома - солідне утворення, що має кістоподібні ділянки. Локалізуються вони частіше у передньому середостінні, на одному боці грудної порожнини. Рентгенологічно проявляються одиничною тінню округлої форми з чітким зовнішнім контуром, внутрішній контур не простежується. Структура тіні може бути однорідною, що характерно для дермоїдної кісти, або неоднорідною зі звапненнями, що характерно для тератоми. Вміст дермоїдних кіст та тератом (слизоподібна рідина, жир, Волосся, Зуби, звапнення) інколи може прориватись у бронх і з’являтись у мокротинні.
Невриноми (неврилемоми) - доброякісні пухлини, що розвиваються з нервової тканини, частіше із спинномозкових вузлів. Розміщуються невриноми біля хребта, ростуть повільно, безсимптомно, можуть досягати великих розмірів, тоді з’являється тупий ниючий біль у спині, грудях, що ірадіює за ходом міжребрових нервів. Рентгенологічно виявляється інтенсивна однорідна тінь округлої або овальної форми з чіткими рівними контурами, яка зливається з тінню середостіння і хребтового стовпа, не зміщується при диханні. При значних розмірах невриноми часто спостерігаються розширення міжхребцевого отвору, крайові дефекти задніх відділів ребер, бічних поверхонь і поперечних відростків тіл хребців.
Ліпома - це доброякісна пухлина, що походить з жирової тканини. Розташовується частіше у верхньому та передньому середостінні. Рентгенологічно визначається однобічна інтенсивна тінь округлої форми, з чітким зовнішнім контуром, що не зміщується під час ковтання і дихання. Маленькі пухлини клінічно себе не проявляють і виявляються випадково під час рентгенологічного обстеження.
Целомічна кіста є природженою кістою, що виникає з первинної порожнини тіла зародка (целому) найчастіше у вигляді випинання порожнини осердя, спостерігається у діафрагмово-середостінному закутку переднього середостіння. При рентгенологічному дослідженні кіста постає у вигляді однорідної тіні середньої інтенсивності, неправильної округлої форми з чіткими контурами, що змінює форму під час дихання і пульсаторних рухів серця.
Медіастиніт - це запалення клітковини середостіння, яке виникає внаслідок травм шиї та грудної клітки, потрапляння у трахею і стравохід сторонніх тіл, ускладнень після оперативних втручань на стравоході та легенях тощо. У хворих виникають загрудинний біль, який посилюється під час дихання, ковтання і закидання голови. Відзначається підвищення температури тіла, інтоксикація. На рентгенограмі у прямій і бічній проекції помітно розширення тіні верхнього середостіння з нечітким хвилястим контуром і зміщеною назовні середостінною плеврою, іноді зміщення трахеї. У випадку гнійного ураження і прориву стінок трахеї або стравоходу можна виявити у порожнині сформованого абсцесу горизонтальний рівень рідини, а структура тіні середостіння стає неоднорідною через повітря, що розшаровує його клітковину. Для виявлення перфорації стравоходу виконують його контрастування.
Последнее обновление: 05/02/2024
Редакционная и учебная адаптация: Данный материал сведен на основе первоисточника/оригинального текста. Команда проекта осуществила редакционную обзорную обработку, исправление технических неточностей, структурирование разделов и адаптацию содержания к учебному формату.
Что было обработано:
- устранение форматных дефектов (OCR-ошибки, разрывы структуры, дефектные символы);
- редакционное упорядочивание содержания;
- унификация терминов в соответствии с академическими источниками;
- проверка соответствия фактических утверждений текста первоисточнику.
Все упоминания об авторе, годе издания и происхождении первичного текста сохранены в соответствии с источником.