Медична радіологія - Лазар А.П. 2008
Променеве дослідження органів грудної порожнини
Променева діагностика захворювань діафрагми
Основним методом дослідження діафрагми є рентгенологічний (Х- променевий). За допомогою флюороскопії визначають положення, характер руху куполів діафрагми, величину їх екскурсії (у нормі - на 12 см під час спокійного Дихання і на 4-5 см - під час глибокого). Хворих обстежують у горизонтальному і вертикальному положеннях, часто використовують контрастування шлунка і кишечника. Рентгенографія дозволяє детальніше вивчити і задокументувати виявлену патологію. Основними захворюваннями діафрагми є релаксація (втрата тонусу) і грижі.
Релаксацію діафрагми розрізняють природжену внаслідок недорозвинення діафрагмового м’яза і набуту внаслідок ушкодження чи стиснення діафрагмового нерва. При релаксації спостерігається високе положення куполів діафрагми, їх обмежені дихальні рухи. Зазвичай трапляється тотальна релаксація лівого купола діафрагми, хоча можуть бути і часткові розслаблення діафрагми, частіше справа.

Мал. 128. Грижі стравохідного розтвору діафрагми на рентгенограмі (схема). А - аксіальна грижа; Б - параезофагеальна грижа; В - фіксована грижа (короткий Стравохід);
1 - діафрагма; 2 - наддіафрагмове ампулярне розширення стравоходу; 3 - кардіа; 4 - грижа (кардіальна частина шлунка);
5 - звуження в місці проходження крізь стравохідний розтвір.
Цілісність діафрагми при цьому зберігається, що дозволяє відрізнити релаксацію від грижі. За допомогою КТ, МРТ можна точніше визначити високе стояння діафрагми та її стоншення.
Діафрагмовими грижами називають проникнення органів черевної порожнини до грудної через дефекти у діафрагмі. За етіологією розрізняють нетравматичні і травматичні діафрагмові грижі. Причинами утворення нетравматичних гриж можуть бути природжені дефекти, слабкі місця, великі розміри природних отворів діафрагми.
Природжені грижі діафрагми трапляються рідко. У грудну порожнину частіше потрапляють тонка і товста кишки. Клінічні прояви характеризуються віком хворого, кількістю і об’ємом переміщених органів: у новонароджених спостерігається ціаноз, задишка, блювання; у дітей старшого віку характерні симптоми можуть бути відсутні. Рентгенологічно виявляється нерівномірне затемнення над діафрагмою з окремими ділянками просвітлень, в яких іноді міститься рідина, що утворює горизонтальні рівні, які зміщуються в разі зміни положення хворої дитини.
Слабкими місцями діафрагми є її парні трикутники. Клінічна симптоматика гриж, що проникають через ці слабкі місця невиразна. Рентгенологічно вони виявляються у вигляді округлої тіні різних розмірів неоднорідної структури з чіткими контурами в ділянці діафрагмово-середостінного закутка у передній проекції. У бічній проекції грижа груднинно-ребрового трикутника діафрагми (Лоррея) локалізується в ділянці переднього реброво-середостінного закутка, а грижа попереково-ребрового закутка (Богдалека) - в ділянці заднього реброво-середостінного закутка. Їх вмістом зазвичай є частина товстої кишки з сальником, Шлунок, або петлі тонкої кишки. Неоднорідність структури обумовлена різною щільністю тканин, розміщених у грижовому мішку, газовими пухирями.

Мал. 129. Аксіальна грижа стравохідного розтвору діафрагми на рентгенограмі.

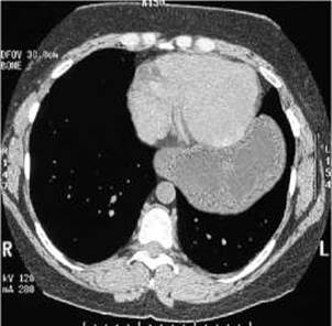
Мал. 130. Параезофагальна грижа на комп’ютерній томограмі.
Грижі стравохідного розтвору діафрагми являють собою потрапляння через розширений стравохідний розтвір у заднє Середостіння кардіального відділу шлунка. Такі грижі можуть бути фіксованими і нефіксованими (ковзними). Серед ковзних гриж розрізнюють аксіальні та параезофагальні (мал. 128). За наявності аксіальної грижі кардіальна частина шлунка періодично або постійно зміщується у грудну порожнину, стравохід повністю знаходиться у грудній порожнині (мал. 129). При параезофагіальній грижі у грудну порожнину проникає склепіння шлунка (мал. 130), іноді сальник, причому кардіальна частина шлунка і черевна частина стравоходу залишаються під діафрагмою. Грижі легко вправляються, але можуть ущемлюватись. Хворі скаржаться на печію, відригування, біль за грудиною. Рентгенологічно на тлі тіні серця виявляють просвітлення газового пухиря шлунка, інколи з горизонтальним рівнем рідини. Для виявлення грижі стравохідного розтвору діафрагми застосовують контрастування стравоходу і шлунка барієвою сумішшю, хворого просять прийняти горизонтальне положення і напружити м’язи черевного преса.
Последнее обновление: 05/02/2024
Редакционная и учебная адаптация: Данный материал сведен на основе первоисточника/оригинального текста. Команда проекта осуществила редакционную обзорную обработку, исправление технических неточностей, структурирование разделов и адаптацию содержания к учебному формату.
Что было обработано:
- устранение форматных дефектов (OCR-ошибки, разрывы структуры, дефектные символы);
- редакционное упорядочивание содержания;
- унификация терминов в соответствии с академическими источниками;
- проверка соответствия фактических утверждений текста первоисточнику.
Все упоминания об авторе, годе издания и происхождении первичного текста сохранены в соответствии с источником.