Медична радіологія - Лазар А.П. 2008
Променеве дослідження органів грудної порожнини
Рак легені
Рак Легені розвивається непомітно, майже нічим себе не виявляючи, тому 60-70% хворих звертаються до лікаря вже із задавненими формами захворювання. Клінічними симптомами раку легень є швидка стомлюваність, схуднення, біль у грудях, кашель, іноді при кашлі в харкотинні помітні прожилки крові. При лабораторному аналізі крові відзначається дещо підвищена ШОЕ, анемія.
Рак легені майже завжди розвивається з епітелію бронхів. Найчастіше уражаються великі Бронхи: головні і часткові, рідше сегментарні і ще рідше - дрібні периферійні. З часткових бронхів здебільшого уражаються бронхи верхньої частки правої легені. З великої кількості запропонованих класифікацій цього захворювання найпоширенішою є Класифікація Ю.М. Соколова (1956), який розрізняє такі форми раку легені: 1) центральний; 2) периферійний; 3) середостінний; 4) верхівковий і 5) міліарний карциноз легені (карциноматоз).
Центральний рак легені розвивається з епітелію головного, часткового або сегментарного бронхів. В одних випадках пухлина росте переважно в просвіт бронха - ендобронхіально, в інших - екзобронхіально і перибронхіально навколо бронха, проростаючи в суміжну легеневу тканину. Клінічні симптоми центрального раку з’являються в тій стадії розвитку пухлини, коли виникають порушення зовнішнього Дихання, дренажної функції бронха, запальна реакція прилеглих тканин.
Променева картина центрального раку складається з проявів самої пухлини (рентгенологічно у вигляді тіні, а на комп’ютернії томограмі - у вигляді вузла або маси), ознак порушення прохідності бронха та ускладнень, які виникають в зв’язку з прогресивним ростом пухлини та її метастазами. Внаслідок звуження просвіту бронха виявляються: а) ознаки гіповентиляції (субателектазу) у вигляді зниження прозорості частки або всієї легені, на фоні якої виявляється посилений легеневий малюнок; б) звуження міжребрових проміжків; в) дещо підвищене положення купола діафрагми на боці ураження; г) незначне зміщення органів Середостіння у бік гіповентиляції, головним чином стравоходу (при його контрастному дослідженні) і трахеї.

Мал. 121. Центральний рак правої легені на рентгенограмах органів грудної клітки у прямій (А) та бічній проекціях (Б) і на комп’ютерній томограмі (В).
1 - пухлина; 2 - Ателектаз верхньої частки; 3 - правий головний бронх.
При ендобронхіальному раку пухлина обтурує просвіт бронха, що призводить до виникнення ателектазу чи гіповентиляції та розвитку супутнього запалення. Вузол пухлини на перших етапах розвитку може бути чітко відмежованим від прилеглої Тканини. Однак в міру прогресування пухлинного процесу він втрачає чіткі межі і починає поширюватись за межі бронха в тканини легені. Комп’ютерна та звичайна томографія виявляє пухлину, що обтурує просвіт бронха (мал. 121).
При екзобронхіальному типі росту пухлина виявляється на рентгенограмі у вигляді округлої тіні і тільки тоді, коли її розміри більші, ніж діаметр великих легеневих судин. На початку розвитку пухлини порушень бронхіальної прохідності немає. Тільки пізніше, при інфільтрації стінки бронха, а потім збільшенні пухлини до декількох сантиметрів, виникають порушення вентиляції (гіповентиляція, клапанна емфізема, ателектаз). Корінь легені розширений, безструктурний, тяжистий.
При перибронхіальному типі росту пухлини утворюються товсті муфти навколо бронхів і судин. Визначається посилений легеневий малюнок, який в подальшому перетворюється на грубі тяжі, які віялоподібно відходять від кореня в легеневу тканину. Просвіти бронхів залишаються прохідними, ознаки порушення вентиляції легені не виявляються. Комп’ютерна та звичайна томографія виявляє стовщення бронхових стінок та візуалізує саму пухлинну масу, бронхографія - концентричне рівномірне звуження просвіту бронхів на значному протязі, пов’язане зі стовщенням їх стінки.

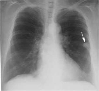
Мал. 122. Периферійний рак лівої легені (стрілка) на оглядовій рентгенограмі органів грудної клітки.
Периферійний рак виникає з епітелію слизової оболонки субсегментарних бронхів і бронхіол. Клінічні симптоми цієї форми раку залежать від розміщення пухлинного вузла по відношенню до грудної стінки та великих бронхів. Вростання пухлини в плевру спричинює біль у ділянці грудної клітки. Коли пухлина проникає у великий бронх, з’являється кашель, мокротиння, кровохаркання.
Х-променеве та КТ-дослідження виявляє периферійний рак у вигляді вузла або маси діаметром 2-4 см і більше, як правило, у верхніх частках легень, частіше справа. Важливими ознаками периферійного раку легені є: 1) неправильна куляста форма, що виявляється на КТ та рентгенологічному багатоосьовому дослідженні хворого (мал. 122, 123); 2) неоднорідна структура тіні пухлини, яка складається з окремих вузлів, що визначається на рентгенограмах, звичайних і комп’ютерних томограмах; 3) нерівні, горбисті, на окремих ділянках нечіткі, змазані контури тіні; 4) незмінена легенева тканина навколо тіні ракового вузла; 5) наявність в окремих випадках «доріжки» до кореня легені, зумовленої дрібними метастатичними висипаннями, або проростанням пухлини вздовж лімфатичних судин (раковий лімфангоїт); 6) стовщення плеври, спайки, зрощення, або плевральні випоти, які спостерігаються при близькому розміщенні пухлини до плеври; 7) порожнина неправильної форми з нерівними краями, без горизонтального рівня, яка з’ являється при розпаді пухлини і краще виявляється на комп’ютерній або лінійній томограмі (мал. 124, 125).

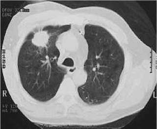
Мал. 123. Периферійний рак правої легені на комп’ютерній томограмі.

Мал. 124. Периферійний рак правої легені (стрілка) з розпадом на рентгенограмі.
Периферійний рак у вигляді вузла часто важко відрізнити від вогнищевого захворювання незлоякісної природи - доброякісної пухлини, туберкульоми та деяких інших. Тоді, в залежності від доступності методів променевого дослідження, можна використати коротке динамічне Х-променеве спостереження, КТ з внутрішньовенним контрастуванням, ПЕТ (мал. 126).
Середостінний (медіастинальний) рак легень є проявом метастазування первинної ракової пухлини, що найчастіше розміщена на рівні біфуркації трахеї, медіальної стінки головного або часткового бронхів. Відбувається метастазування у трахеобронхові та притрахейні Лімфатичні вузли. Клінічно середостінна форма раку легень характеризується компресійним синдромом ураження середостіння (синдром верхньої порожнистої вени, стиснення стравоходу, поворотного та діафрагмового нервів), зокрема, набряком обличчя і шиї. Рентгенологічна картина характеризується наявністю тіні округлої форми з одного боку середостіння, яка закриває тінь кореня легені. На КТ-сканах виявляється гіперплазія уражених лімфовузлів.

Мал. 125. Периферійний рак VI сегмента лівої легені з розпадом на комп’ютерній томограмі.
А - у хворого у лівій легені виявляється периферійне об’ємне порожнисте утворення та поодинокі малі вогнища в обох легенях;
Б - той же самий хворий через 4 місяці: у лівій легені виявляється периферійний рак з розпадом, правобічний пневмоторакс, метастатична дисемінація в обох легенях.

Мал. 126. Периферійний рак лівої легені на КТ (середостінне вікно) і ПЕТ з фтордезоксиглюкозою 18F.
Верхівковий рак (рак Пенкоста) - це рак верхньої частки легені, який розвивається із залишків зябрових щілин. Пухлина росте тонким шаром вздовж поверхні легені субплеврально. Раннє її проростання в Ребра і втягнення процес нервових сплетень обумовлює клінічну картину: біль у плечовому суглобі, грудній клітці, а також синдром Горнера (птоз верхньої повіки, енофтальм, звуження зіниці). Однак це симптоми вже запущеного процесу, який поширився за межі легені. Рентгенологічна картина верхівкового раку характеризується гомогенною тінню в ділянці верхівки легені з нижнім поліциклічним опуклим контуром. Томографія виявляє округлу гомогенну масу в ділянці верхівки легень, розташовану ближче до задньої грудної стінки. Характерною є деструкція задніх відрізків одного-двох ребер, а також поперечних відростків декількох хребців.
Міліарний карциноматоз (карциноз) є формою метастатичного поширення раку легень. Первинний пухлинний вузол малий і не виявляється під час рентгенологічного та комп’ютерно-томографічного досліджень. На рентгенограмах та комп’ютерних томограмах виявляються множинні тіні, розміром до 3 мм. Згодом тіні збільшуються, більше у нижніх частках. Легеневий малюнок не простежується.
Последнее обновление: 05/02/2024
Редакционная и учебная адаптация: Данный материал сведен на основе первоисточника/оригинального текста. Команда проекта осуществила редакционную обзорную обработку, исправление технических неточностей, структурирование разделов и адаптацию содержания к учебному формату.
Что было обработано:
- устранение форматных дефектов (OCR-ошибки, разрывы структуры, дефектные символы);
- редакционное упорядочивание содержания;
- унификация терминов в соответствии с академическими источниками;
- проверка соответствия фактических утверждений текста первоисточнику.
Все упоминания об авторе, годе издания и происхождении первичного текста сохранены в соответствии с источником.