Анатомія людини Частина 1 - К. А. Дюбенко А. К. Коломійцев Ю. Б. Чайковський 2002
Спеціальна частина
Спланхнологія, splanchnologia [вчення про нутрощі] - Великі травні залози
Підшлункова залоза - Будова залози
Підшлункова залоза має альвеолярно-трубчасту будову. Зовні вона покрита сполучнотканинною капсулою, від якої в паренхіму відходять тяжі, які поділяють її на часточки, lobuli pancreatici. Між ними проходять Кровоносні судини, протоки та нерви. Часточки залози включають до свого складу екзокринні та ендокринні частини.
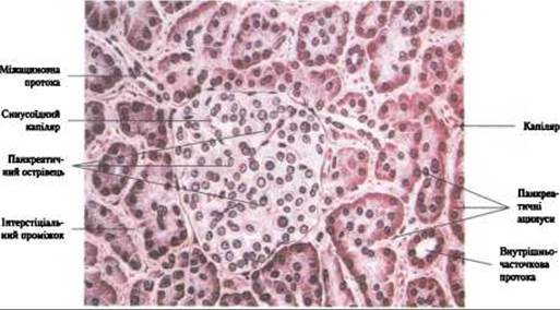
Екзокринна частина підшлункової залози, pars exsocrina pancreatis, представлена панкреатичними ацінусами, acinus pancreaticus (рис. 268), структурно-функціональними одиницями залози. Вони утворені 8-12 екзокринними панкреацитами або ациноцитами, які синтезують травні Ферменти. До екзокринної частини належать внутрішньочасточкові й міжчасточкові протоки та загальна панкреатична протока, ductus pancreaticus (Virsungi). Вона бере початок у ділянці хвоста залози, проходить зліва направо, приймаючи дрібні протоки. В кінцевому відділі вона об’єднується зі спільною жовчною протокою і вони разом впадають у дванадцятипалу кишку спільним отвором па великому сосочку дванадцятипалої кишки, papilla duodeni major (див. рис. 262,263). Відомі різні форми впадіння панкреатичної протоки у дванадцятипалу кишку, зокрема протоки можуть впадати окремо з утворенням великого сосочка або без нього. Форми впадіння жовчної і панкреатичної проток у дванадцятипалу кишку слід ураховувати в хірургічній практиці. У кінцевому відділі протока має замикач підшлункової протоки, m. sphincter ductus pancreatici, який регулює проходження панкреатичного соку у дванадцятипалу кишку. Крім головної панкреатичної протоки, в залозі ще є додаткова панкреатична протока, ductus pancreaticus accessorius, яка відкривається у дванадцятипалу кишку на малому сосочку. Трапляються випадки наявності додаткової підшлункової залози, pancreas accessorius.
Ендокринна частина залози, pars endocrina panreatis, представлена панкреатичними острівцями, insulae pancreaticae, які розміщені між ацинусами і мають кулясту або яйцеподібну форму (див. рис. 268). Острівці складаються з ендокринних клітин (інсулоцитів), що продукують гормони. Найбільша кількість панкреатичних острівців зосереджена у хвостовій частині залози, загальна їх кількість становить 1-2 млн. (Більш детально про ендокринну частину див. у розділі "Ендокринні залози».)
Ультразвукове дослідження (УЗД) підшлункової залози. Зображення підшлункової залози отримують у 85% випадків після спеціальної підготовки. Підшлункова залоза добре виявляється при скануванні через печінку при затримці Дихання. Спочатку роблять поперечне, а потім - поздовжнє сканування. Поперечне сканування здійснюють під кутом 10-20° уздовж умовно! лінії, яку проводять від воріт правої нирки до воріт селезінки або верхнього полюса лівої нирки, переміщуючи покажчик від мечоподібного відростка до пупка. Поздовжні сканування проводять у напрямку від правої серединно-ключичної до передньої пахвової лінії.

Рис. 268. Мікроскопічна будова підшлункової залози (панкреатичний острівець та ацинуси)
У нормі головка підшлункової залози міститься, безпосередньо під правою часткою печінки, а тіло і хвіст - під лівою часткою печінки та шлунком. Хвіст підшлункової залози визначається в ділянці воріт селезінки або верхнього полюса лівої нирки. Ззаду головка підшлункової залози прилягає до нижньої порожнистої вени. На сканограмах вона виявляється як велике ехонегативне утворення, розташоване праворуч від хребтового стовпа. Ліворуч і спереду від неї визначається верхня брижова вена, яка є основним орієнтиром при визначенні головки залози. Селезінкова вена є орієнтиром у визначенні головки залози, дещо вище від селезінкової вени лежить однойменна артерія. Між селезінковою веною та аортою у нормі вдається виявити верхню брижову артерію.
При вивченні топографії залози на сканограмах установлено, що вона спочатку прямує справа наліво, знизу вгору, а потім на границі тіла й хвоста круто повертає назад. Головка залози міститься справа від хребтового стовпа, шийка - над ним, а тіло і хвіст - зліва від нього. Головка підшлункової залози при поперечному скануванні має овальну або круглу форму, тіло і хвіст визначаються як утворення циліндричної форми приблизно однакової товщини.
Розміри підшлункової залози: передньо-задній розмір головки становить від 2,2 до 3 см, тіло - від 1 до 2 см, хвіст - від 1,8 до 2,8 см. Ширина тіла й хвоста підшлункової залози приблизно в 1,5 раза перевищують її товщину. Панкреатичну протоку виявляють менше, ніж у третині спостережень, як правило, фрагментарно, діаметр не перевищує 1 мм. Визначення розмірів та структури залози має велике значення для діагностики захворювань (пухлини, кіста, Хронічний панкреатит).
Комп’ютерна томографія (КТ) підшлункової залози. Комп’ютерна томографія - важливий інформативний метод досліджень, який дає достеменну інформацію про стан підшлункової залози, а також можливість краще оцінити морфо-функціональний стан суміжних органів (нирок, селезінки, жовчних шляхів, брижі, тонкої та товстої кишок).
Оптимальне зображення підшлункової залози отримують методом сканування на рівні Th XII—L II. Головка підшлункової залози на томограмах розміщена приблизно на рівні L І, а тіло і хвіст - вище на 1-2 хребці. Ознаками, які дають змогу оцінити розташування підшлункової залози та установити співвідношення з органами, що її обмежують (синтопія), є обриси верхньої брижової Артерії та судинної ніжки селезінки (рис. 269). На задній поверхні залози під артерією розташована селезінкова вена, діаметр якої перевищує діаметр однойменної артерії у 2 рази, вона краще визначається на комп’ютерних томограмах. Структура підшлункової залози у молодих людей гомогенна, а у літніх зменшена в розмірах і має часточкову будову. Заочеревинна клітковина, яка обмежує орган, дозволяє чітко візуалізувати підшлункову залозу.

Рис. 269. Комп’ютерна томограма заочеревинного простору на рівні підшлункової залози, нирок та наднирників (за О. Іванковим):
1 - підшлункова залоза; 2 - головка підшлункової залози; 3 - тіло підшлункової залози, 4 - хвіст підшлункової залози, 5 - черевна аорта, 6 - нирки; 7 - дванадцятипала кишка; 8 - Нижня порожниста вена; 9 - хребець
Кровопостачання підшлункової залози здійснюється гілками a. pancreaticoduodenalis superior (від a. gastroduodenalis) та a. pancriaticoduodenalis inferior (від a. mesenterica superior), а також гілками a. henalis. Венозна Кров відтікає по однойменних венах у ворітну вену.
Лімфа відтікає в шлунково-селезінкові Лімфатичні вузли.
Іннервація підшлункової залози складна й здійснюється з багатьох джерел: печінкового, селезінкового, верхнього брижового та черевного нервових сплетень, а також гілок блукаючого нерва. Від цих нервових утворень у паренхіму залози проникають нервові стовбури, які супроводжують судини й утворюють навколо них сплетення. Парасимпатична іннервація залози здійснюється, головним чином, за рахунок правого стовбура блукаючого нерва (Д. М. Голуб, 1939) Симпатична іннервація здійснюється черевним сплетенням через його вузли. Чутлива іннервація залози є переважно спінальною і здійснюється за рахунок спинномозкових нервів з V-XII грудних сегментів (В Ю. Первушин, 1956, 1957).
Последнее обновление: 05/02/2024
Редакционная и учебная адаптация: Данный материал сведен на основе первоисточника/оригинального текста. Команда проекта осуществила редакционную обзорную обработку, исправление технических неточностей, структурирование разделов и адаптацию содержания к учебному формату.
Что было обработано:
- устранение форматных дефектов (OCR-ошибки, разрывы структуры, дефектные символы);
- редакционное упорядочивание содержания;
- унификация терминов в соответствии с академическими источниками;
- проверка соответствия фактических утверждений текста первоисточнику.
Все упоминания об авторе, годе издания и происхождении первичного текста сохранены в соответствии с источником.