Медична радіологія - Лазар А.П. 2008
Променеве дослідження центральної нервової системи
Пухлини головного мозку
Залежно від розмірів та локалізації пухлини головного мозку клінічно можуть проявлятись загальномозковою симптоматикою (періодичні головні болі, запаморочення, непритомність тощо) та локальною неврологічною симптоматикою (порушення зору, слуху, рухів, чутливості тощо).
Пухлини головного мозку виявляються променевими методами дослідження за прямими та побічними ознаками. До прямих ознак належить безпосереднє виявлення пухлини у вигляді об’ємного утворення, до побічних - перифокальний набряк, мас-ефект (зміщення сусідніх структур мозку та деформація шлуночків), звапнення в пухлині, деструктивні зміни у кістках черепа та деякі інші (мал. 292, 294). За допомогою КТ та МРТ пухлина виявляється у вигляді ділянки зміненої денситометричної щільності (гіпер- або гіподенсивної), або сили МР-сигналу (гіпер- або гіпоінтенсивного) (мал. 293). Форма ділянки частіше неправильна, структура - неоднорідна. Ізоденсні та ізоінтенсивні пухлини головного мозку виявляються за непрямими ознаками, а також за допомогою внутрішньовенного контрастування рентгеноконтрастною речовиною (КТ) чи гадолінієм (МРТ), при якому денситометрична щільність або інтенсивність сигналу пухлини підвищується більшою мірою, ніж здорової мозкової Тканини.

Мал. 292. Комп’ютерна томограма пухлин головного мозку (схема):
А - внутрішньомозкова пухлина,
Б - внутрішньошлуночкова пухлина, В - невринома ділянки внутрішнього слухового отвору.
1 - гіподенсивна зона набряку навколо пухлини; 2 - фіксація контрасту в пухлині; 3 - ампутація порожнини шлуночка; 4 - відтиснення четвертого шлуночка; 5 - невринома слухового (присінково-завиткового) нерва.
Через порушення гематоенцефалічного бар’єру і підвищене накопичення РФП у пухлині вона виявляється у вигляді «гарячого вогнища» на сцинтиграмах, однофотонних емісійних томограмах та позитронних емісійних томограмах.
Каротидна ангіографія виявляє такі ознаки новоутвору: відтиснення судин пухлиною, розширення судин, що живлять пухлину, їх випрямлення.
Безконтрастна рентгенографія черепа дозволяє виявити непрямі ознаки пухлин головного мозку, пов’язані з підвищенням внутрішньочерепного тиску та мас-ефектом. Внутрішньочерепний тиск підвищується внаслідок збільшення розмірів пухлини, набряку мозкової речовини, пов’язану з накопиченням вільної міжклітинної чи зв’язаної внутрішньоклітинної рідини, і викликане цим стиснення шлуночків та шляхів венозного відтоку з порожнини черепа. Під час встановлення діагнозу необхідно пам’ятати також про можливість підвищення внутрішньочерепного тиску, викликане запальним захворюванням головного мозку та його оболон.

Мал. 293. Менінгеома на магнітно-резонансній томограмі.
А - Т2-зважене зображення у горизонтальній площині;
Б - Т1-зважене зображення у сагітальній площині.

Мал. 294. Астроцитома правої півкулі мозку на МРТ, Т1-зважене зображення. Стрілка вказує на ділянку звапнення у пухлині
Рентгенологічними симптомами довготривалої внутрішньочерепної гіпертензії є збільшення розмірів черепа, розширення каналів диплоїчних вен і венозних випускників, посилення малюнку пальцевих втиснень та зміни в турецькому сідлі (збільшення розмірів, Остеопороз, випрямлення спинки, руйнування деталей). Підвищення внутрішньочерепного тиску виразніше проявляється у дітей: розміри черепа збільшуються за рахунок розширення черепних швів та стоншення кісток склепіння, Череп при цьому набуває кулястої форми.
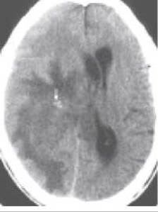
Зміни положення, форми, розмірів шлуночків та підпавутинних просторів на ранніх стадіях розвитку гіпертензивного синдрому виявляються за допомогою КТ, МРТ, ехоенцефалографії та радіонуклідної цистернографії (мал. 294). На КТ та МРТ злоякісні пухлини зазвичай мають неоднорідну структуру і накопичують введений внутрішньовенно контраст (мал. 295).

Мал. 295. Гліобластома лівої півкулі мозку на МРТ. А - Т2-зважене зображення;
Б - Т1-зважене зображення; В - Т1-зважене зображення, з контрастним підсиленням.

Мал. 296. Аденома гіпофіза на КТ.
1 - пухлина у вигляді гіперденсивного об’ємного утвору;
2 - розширені нижні роги бічних шлуночків.
Серед пухлин гіпофіза переважають аденоми, що розвиваються з передньої частки гіпофіза. Рентгенологічно аденоми гіпофіза виявляються тоді, коли досягають таких розмірів, що перевищують розміри турецького сідла. На краніограмах визначається збільшення розмірів сідла (у нормі сагітальний розмір не перевищує 14 мм, фронтальний - 18 мм), стоншення його спинки, остеопороз кісток. На комп’ютерних томограмах виявляються аденоми розміром більші за 3-4 мм; вони мають більшу денситометричну щільність (мал. 296).
Краніофарингеоми, що розвиваються із залишків ембріональної глотково-гіпофізної кишені (Ратке), розташовуються здебільшого над діафрагмою турецького сідла поблизу зорових шляхів. Тому її ріст швидко призводить до зорових порушень. Рентгенологічне дослідження у 80% хворих виявляє звапнення пухлини, розширення входу у гіпофізну ямку, симптоми внутрішньочерепної гіпертензії.
Пухлини спинного мозку виявляються переважно у грудному відділі. Виявляються вони краще за допомогою МРТ (мал. 297). Під час КТ-дослідження денситометрична щільність пухлин спинного мозку зазвичай дорівнює щільності тканин, з яких вони походять, тому для їх виявлення цим методом краще застосовувати внутрішньовенне контрастування. На рентгенограмі можна виявити пухлину за непрямими ознаками: деформацією ніжок дуг хребців, втисненням на тілі хребця, розширенням міжхребцевого отвору.

Мал. 297. Пухлина спинного мозку на сагітальному зрізі (МРТ).
А - Т2-зважене зображення;
Б - Т1-зважене зображення.
Последнее обновление: 05/02/2024
Редакционная и учебная адаптация: Данный материал сведен на основе первоисточника/оригинального текста. Команда проекта осуществила редакционную обзорную обработку, исправление технических неточностей, структурирование разделов и адаптацию содержания к учебному формату.
Что было обработано:
- устранение форматных дефектов (OCR-ошибки, разрывы структуры, дефектные символы);
- редакционное упорядочивание содержания;
- унификация терминов в соответствии с академическими источниками;
- проверка соответствия фактических утверждений текста первоисточнику.
Все упоминания об авторе, годе издания и происхождении первичного текста сохранены в соответствии с источником.