ПРАКТИКУМ З ГІСТОЛОГІЇ, ЦИТОЛОГІЇ ТА ЕМБРІОЛОГІЇ - 2016
Розділ 4. ТКАНИНИ
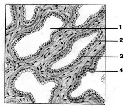
Препарат 33. Залозистий епітелій зеленої залози рака.
Забарвлення: гематоксилін і еозин.
Збільшення: х400.
На даному препараті представлені зрізи секреторних відділів залози в різних проекціях. Стінки альвеол (комірок,1) залоз побудовані з гландулоцитів (2). Ядра (3) гландулоцитів розміщуються біля базальної мембрани. В апікальній частині секреторних клітин розрізняється дрібна зернистість. Тип секреції - мерокриновий.

Препарат 33. Залозистий епітелій зеленої залози рака.
Последнее обновление: 05/02/2024
Редакционная и учебная адаптация: Данный материал сведен на основе первоисточника/оригинального текста. Команда проекта осуществила редакционную обзорную обработку, исправление технических неточностей, структурирование разделов и адаптацию содержания к учебному формату.
Что было обработано:
- устранение форматных дефектов (OCR-ошибки, разрывы структуры, дефектные символы);
- редакционное упорядочивание содержания;
- унификация терминов в соответствии с академическими источниками;
- проверка соответствия фактических утверждений текста первоисточнику.
Все упоминания об авторе, годе издания и происхождении первичного текста сохранены в соответствии с источником.