Фізіологія рослин - Мусієнко М.М. 2001
Фізіологія рослин та біотехнологія. Досягнення і перспективи розвитку
Космічна фітофізіологія
В еру космонавтики інтенсивно розвивається космічна фітобіологія, яка вивчає РІСТ І РОЗВИТОК нижчих і вищих рослин при дії факторів космічного польоту, в першу чергу мікрогравітації як постійно діючого і основного фактора орбітального польоту. Тому космічна фітобіологія є експериментальною основою гравітаційної біології, завдання якої — з’ясувати роль гравітації — кардинального геофізичного фактора в еволюції і життєдіяльності живих істот на Землі, що стало можливим лише з початком космічної ери, оскільки гравітацію в земних умовах не можна змінити на будь-який тривалий строк.
В серії космічних, біологічних і модельних (кліностатування) експериментів з одноклітинними зеленими водоростями і вищими рослинами (мохи, водяна папороть, голонасінні й покритонасінні), культурами органів, клітин і тканин, а також протопластів, які росли і розвивалися під час польоту, було доведено:
·принципову можливість вирощування рослин, в умовах мікрогравітації;
·збереження й реалізацію генетичної детермінованості морфогенезу і клітинного диференціювання в цих умовах;
·різнобічний вплив мікрогравітації на ріст і життєдіяльність рослин, що виявляється у змінах швидкості росту, біохімічного складу й активності ферментів, інтенсивності основних фізіологічних процесів.
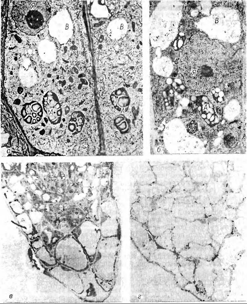
Показано, що за відсутності гравітаційного вектора, гравірецепторний апарат кореня — кореневий чохлик формується, але не функціонує, тобто амілопласти-статоліти не осідають в базальній частині статоцитів (фото 2, а, б).
Нормальне просторове розташування органів рослин визначається фото- і хемотропізмами.
Найважливішим відкриттям космічної біології є відкриття гравічутливості клітини, яке базується на істотних перебудовах рівня спрямованості клітинного метаболізму, що відбивається на структурному рівні у змінах ультраструктури цитоплазми: інтенсифікація процесу вакуолізації (фото 2, в, г), збільшення обсягу ендоплазматичного ретикулуму агранулярного типу, зменшення вмісту крохмалю в амілопластах (фото 3, а, б) та розміру пластид, нерівномірне розширення внутрішньотилакоїдного простору, збільшення обсягу мітохондріому в клітині та відношення крист до матриксу, поява великих мітохондрій, часто округлої форми, з упорядковано розташованими кристами, ущільнення матриксу (фото 3, в, г), специфічне видозмінення периферичної цистерни дистального полюса диктіосоми (фото 3 д, є), збільшення обсягу ліпідних крапель, потоншення клітинної оболонки, поява асоційованих з плазмалемою і мембранами ендоплазматичного ретикулуму електронно-щільних глобул, що містять кальцій та ін.
Ці структурно-функціональні зміни органел в процесах росту, диференціювання і життєдіяльності клітин мають загальний характер, незалежно від їхньої видової і тканинної належності, але в той же час можуть нести інформацію про дис-, гіпер- або гіпофункцію окремих типів клітин і органів.
Доведено, що зміни швидкості і спрямованості метаболічних процесів в рослинних клітинах під впливом мікрогравітації призводять до прискорення: 1) росту і диференціювання меристематичних клітин і клітин, що ростуть розтягуванням, і 2) Старіння диференційованих клітин, що спричинює скорочення періоду меристематичної активності й онтогенезу організмів.
Ймовірно, що активація метаболізму в умовах мікрогравітації шляхом збільшення функціонального навантаження клітинних органел і змін активності ферментів забезпечує життєдіяльність клітин, тобто адаптацію їх до дії мікрогравітації, яка здійснюється за принципом систем, що саморегулюються. Проте цей процес відбувається на фоні прискорення старіння, про що свідчить насамперед слабке, але стійке постійне збільшення в цих умовах інтенсивності пероксидного окислення ліпідів мембран. Ці теоретичні надбання космічної фітобіології використовуються у розробці засобів космічного рослинництва як автотрофної ланки контрольованих екологічних систем життєзабезпечення людини в тривалих космічних польотах та у створенні космічних клітинних біотехнологій.

Фото 2. Статоцити головного кореня (а, б) та апекси бічних коренів (в, г) Arabidopsis thaliana: а, в — контроль, б — кліностатування, г — космічний політ, 65 діб. А — амілопласт. В — вакуоля, Я — Ядро (фото надані Є.Л. Кордюм)
Розвиток досліджень в даному напрямку на сучасному етапі привів до ідеї використання вирощування рослин на космічних станціях, за межами впливу гравітаційного поля Землі. Рослини повинні стати одним з найважливіших компонентів незалежних замкнутих систем життєзабезпечення орбітальних комплексів, забезпечуючи учасників польотів не лише їжею, а й переробкою продуктів виділення людини. Вони можуть поглинати при диханні О2 та видихати СО2, тоді як зелені рослини шляхом фотосинтезу забезпечать зворотний процес газообміну. Продукти виділень людського організму частково забезпечать потребу рослинних організмів в поживних речовинах, а виділювана ними при транспірації Вода після відповідної конденсації могла б бути для членів екіпажу питною водою. В космосі рослини можуть використовувати світло електричних ламп за рахунок енергії зовнішніх сонячних елементів космічного корабля. Хоча рослинні організми будуть знаходитись в середовищі, де немає гравітації, на орієнтацію їх у просторі можуть впливати слабкі центробіжні сили та фототропізм.

Фото 3- Фрагменти статоцитів Pisum sativum (а, б), меристематичних клітин головного кореня Р. sativum (в-д) і Impatiens balsamina (е): а, в — контроль, б, г, е — космічний політ, 7 діб (б, г), 13 діб (е), А — амілопласт, Д — диктіосома, М — мітохондрія (фото надані Є.Л. Кордюм)
Освоєння космічного простору відкрило людству також нові перспективи використання людиною рослинних ресурсів на нашій планеті Земля. Спостереження за рослинним покривом з використанням фотографування, спектрофотометрії при різних довжинах хвиль дозволяють визначати характер рослинності, ступінь забезпечення поживними речовинами, ураження хворобами, а також проводити широкомасштабні еколого-фізіологічні експерименти. Є надія, ідо в майбутньому їх можна використати в інтересах всього людства.
Таким чином, біотехнологія, застосовуючи традиційні знання фізіології рослин і сучасну технологію, може зробити вагомий внесок для того, щоб:
·збільшити виробництво, поживні якості і строки зберігання продуктів Харчування і фуражу;
·підвищити стійкість сільськогосподарських культур до хвороб і шкідників з метою зниження потреби в хімічних пестицидах;
·розробити безпечні і ефективні Методи біологічної боротьби з комахами-переносниками хвороб, особливо стійких до пестицидів;
·підвищити родючість грунту та ступінь засвоєння рослинами поживних речовин;
·використовувати фототрофні керовані біосинтези для виробництва ліків, продуктів харчування і сировини, впроваджувати нові нетрадиційні культури;
·використовувати більш дешеві та ефективніші способи очищення стічних вод та обеззараження шкідливих відходів виробництва;
·забезпечити відновлювальними джерелами енергії та сировини на основі розкриття фізикохімічних механізмів фотосинтезу, використання органічних відходів та біомаси.
Майбутні відкриття, без сумніву, перевершать найсміливіші мрії, набагато розширять межі сучасних знань про рослинний Організм. Нас чекає довга дорога на цьому шляху і прийдешнє буде значно залежати від мудрості і професійної підготовки тих, хто вступає тепер в третє тисячоліття і до яких, я сподіваюсь, відносяться і читачі даної книги.
Последнее обновление: 23/05/2024
Редакционная и учебная адаптация: Данный материал сведен на основе первоисточника/оригинального текста. Команда проекта осуществила редакционную обзорную обработку, исправление технических неточностей, структурирование разделов и адаптацию содержания к учебному формату.
Что было обработано:
- устранение форматных дефектов (OCR-ошибки, разрывы структуры, дефектные символы);
- редакционное упорядочивание содержания;
- унификация терминов в соответствии с академическими источниками;
- проверка соответствия фактических утверждений текста первоисточнику.
Все упоминания об авторе, годе издания и происхождении первичного текста сохранены в соответствии с источником.