Клинико-морфологическая диагностика и лечение заболеваний, передающихся половым путем - Якимова Т. П. 2007
Додаток
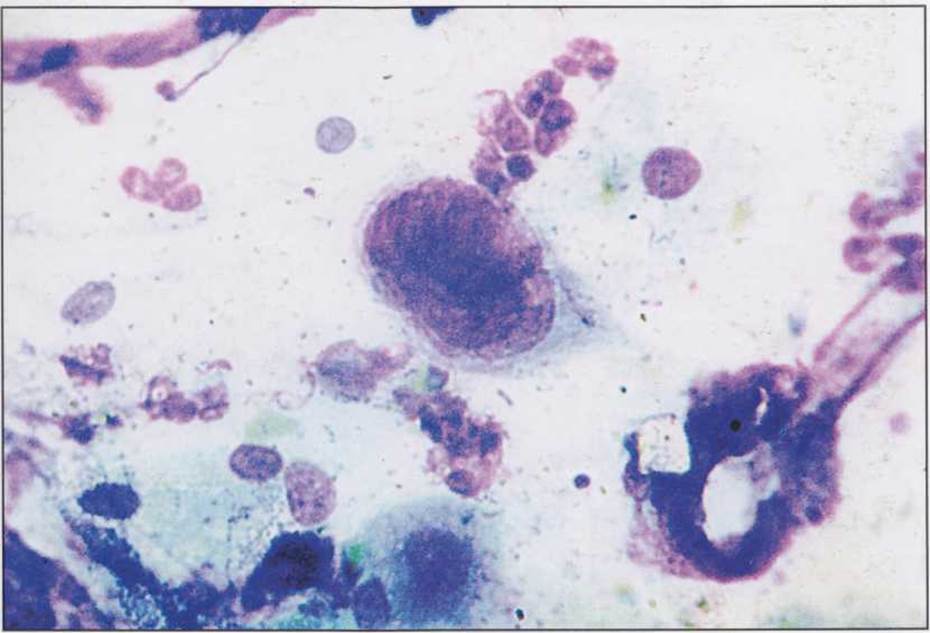
Вирус простого герпеса. Гигантская многоядерная клетка с нечеткой границей ядер, с узким ободком цитоплазмы с одной стороны. Окраска по Паппенгейму (х630)

Рис. 46. Вирус простого герпеса. Гигантская многоядерная Клетка с нечеткой границей ядер, с узким ободком цитоплазмы с одной стороны. Окраска по Паппенгейму (х630).
Последнее обновление: 05/02/2024
Редакционная и учебная адаптация: Данный материал сведен на основе первоисточника/оригинального текста. Команда проекта осуществила редакционную обзорную обработку, исправление технических неточностей, структурирование разделов и адаптацию содержания к учебному формату.
Что было обработано:
- устранение форматных дефектов (OCR-ошибки, разрывы структуры, дефектные символы);
- редакционное упорядочивание содержания;
- унификация терминов в соответствии с академическими источниками;
- проверка соответствия фактических утверждений текста первоисточнику.
Все упоминания об авторе, годе издания и происхождении первичного текста сохранены в соответствии с источником.