Основы биохимии Том 1 - А. Ленинджер 1985
Биомолекулы
Клетки
На поверхности многих животных клеток имеются также «антенны»
С внешней стороны плазматической мембраны многие Клетки животных тканей имеют тонкую гибкую клеточную оболочку. В ней содержится большое число разнообразных полисахаридных, липидных и белковых молекул, расположенных на наружной стороне плазматической мембраны. На поверхности клетки находится много различных молекулярных структур, принимающих и распознающих внешние сигналы. К их числу относятся участки распознавания клеток, при помощи которых однотипные клетки узнают друг друга и прикрепляются одна к другой, образуя структуру специфических тканей. На поверхности многих животных клеток имеются также рецепторные участки, связывающие различные ГОРМОНЫ. Гормоны - это химические посредники, секретируемые определенными клетками в Кровь; они регулируют активность других клеток в каком-то ином месте организма. Связываясь с рецепторными участками на поверхности клетки-мишени, молекулы гормонов стимулируют определенный аспект клеточной активности. Другие специфические участки на поверхности животных клеток могут распознавать и связывать некоторые чужеродные для данных клеток Белки. Связывание чужеродных белков с такими участками вызывает ответные реакции клеток, в результате чего развивается аллергия. Эти же специфические участки отвечают за отторжение чужеродных для данного реципиента тканей и органов после их хирургической пересадки. Таким образом, поверхность многих животных клеток представляет собой поистине сложную мозаику, составленную из различных чувствительных молекулярных «антенн», при помощи которых клетки общаются с внешним миром и отвечают на воздействие специфических агентов, присутствующих в окружающей среде.

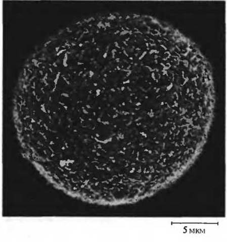
Рис. 2-20. Микрофотография поверхности изолированной клетки печени крысы, полученная методом сканирующей электронной микроскопии. Видно, что площадь поверхности клетки сильно увеличена за счет микроворсинок, форма и расположение которых постоянно меняются.
Последнее обновление: 05/02/2024
Редакционная и учебная адаптация: Данный материал сведен на основе первоисточника/оригинального текста. Команда проекта осуществила редакционную обзорную обработку, исправление технических неточностей, структурирование разделов и адаптацию содержания к учебному формату.
Что было обработано:
- устранение форматных дефектов (OCR-ошибки, разрывы структуры, дефектные символы);
- редакционное упорядочивание содержания;
- унификация терминов в соответствии с академическими источниками;
- проверка соответствия фактических утверждений текста первоисточнику.
Все упоминания об авторе, годе издания и происхождении первичного текста сохранены в соответствии с источником.